
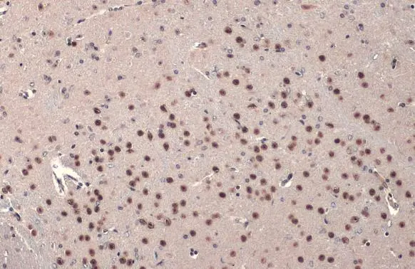
FOXP2 antibody detects FOXP2 protein at nucleus by immunohistochemical analysis. Sample: Paraffin-embedded rat brain. FOXP2 stained by FOXP2 antibody (GTX135298) diluted at 1:500. Antigen Retrieval: Citrate buffer, pH 6.0, 15 min
FOXP2 antibody
GTX135298
ApplicationsWestern Blot, ImmunoHistoChemistry, ImmunoHistoChemistry Paraffin
Product group Antibodies
ReactivityHuman, Mouse, Rat
TargetFOXP2
Overview
- SupplierGeneTex
- Product NameFOXP2 antibody
- Delivery Days Customer9
- Application Supplier NoteWB: 1:500-1:3000. IHC-P: 1:100-1:1000. *Optimal dilutions/concentrations should be determined by the researcher.Not tested in other applications.
- ApplicationsWestern Blot, ImmunoHistoChemistry, ImmunoHistoChemistry Paraffin
- CertificationResearch Use Only
- ClonalityPolyclonal
- Concentration2.18 mg/ml
- ConjugateUnconjugated
- Gene ID93986
- Target nameFOXP2
- Target descriptionforkhead box P2
- Target synonymsCAGH44, SPCH1, TNRC10, forkhead box protein P2, CAG repeat protein 44, forkhead/winged-helix transcription factor, trinucleotide repeat containing 10, trinucleotide repeat-containing gene 10 protein
- HostRabbit
- IsotypeIgG
- Protein IDO15409
- Protein NameForkhead box protein P2
- Scientific DescriptionThis gene encodes a member of the forkhead/winged-helix (FOX) family of transcription factors. It is expressed in fetal and adult brain as well as in several other organs such as the lung and gut. The protein product contains a FOX DNA-binding domain and a large polyglutamine tract and is an evolutionarily conserved transcription factor, which may bind directly to approximately 300 to 400 gene promoters in the human genome to regulate the expression of a variety of genes. This gene is required for proper development of speech and language regions of the brain during embryogenesis, and may be involved in a variety of biological pathways and cascades that may ultimately influence language development. Mutations in this gene cause speech-language disorder 1 (SPCH1), also known as autosomal dominant speech and language disorder with orofacial dyspraxia. Multiple alternative transcripts encoding different isoforms have been identified in this gene.[provided by RefSeq, Feb 2010]
- ReactivityHuman, Mouse, Rat
- Storage Instruction-20°C or -80°C,2°C to 8°C
- UNSPSC12352203








