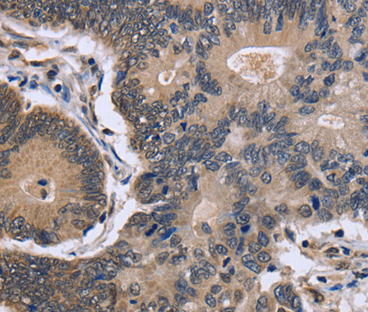
Immunohistochemistry of paraffin-embedded Human colon cancer tissue using FSTL1 Polyclonal Antibody at dilution 1:40
FSTL1 Polyclonal Antibody
E-AB-15048
Product group Antibodies
Overview
- SupplierElabscience
- Product NameFSTL1 Polyclonal Antibody
- Delivery Days Customer12
- Applications SupplierELISA IHC
- CertificationResearch Use Only
- Concentration0.5mg/ml
- Scientific DescriptionThis gene encodes a protein with similarity to follistatin, an activin-binding protein. It contains an FS module, a follistatin-like sequence containing 10 conserved cysteine residues. This gene product is thought to be an autoantigen associated with rheumatoid arthritis.
- UNSPSC12352203






