![WB analysis of various cell lines using GTX84462 GAS7 antibody [2F6]. Loading : 35 ug per lane WB analysis of various cell lines using GTX84462 GAS7 antibody [2F6]. Loading : 35 ug per lane](https://www.genetex.com/upload/website/prouct_img/normal/GTX84462/GTX84462_4384_WB_w_23061420_516.webp)
WB analysis of various cell lines using GTX84462 GAS7 antibody [2F6]. Loading : 35 ug per lane
GAS7 antibody [2F6]
GTX84462
ApplicationsFlow Cytometry, ImmunoFluorescence, Western Blot, ImmunoCytoChemistry, ImmunoHistoChemistry, ImmunoHistoChemistry Paraffin
Product group Antibodies
ReactivityCanine, Human, Rat
TargetGAS7
Overview
- SupplierGeneTex
- Product NameGAS7 antibody [2F6]
- Delivery Days Customer9
- Application Supplier NoteWB: 1:500. ICC/IF: 1:100. IHC-P: 1:150. FCM: 1:100. *Optimal dilutions/concentrations should be determined by the researcher.Not tested in other applications.
- ApplicationsFlow Cytometry, ImmunoFluorescence, Western Blot, ImmunoCytoChemistry, ImmunoHistoChemistry, ImmunoHistoChemistry Paraffin
- CertificationResearch Use Only
- ClonalityMonoclonal
- Clone ID2F6
- Concentration0.85 mg/ml
- ConjugateUnconjugated
- Gene ID8522
- Target nameGAS7
- Target descriptiongrowth arrest specific 7
- Target synonymsgrowth arrest-specific protein 7
- HostMouse
- IsotypeIgG2a
- Protein IDO60861
- Protein NameGrowth arrest-specific protein 7
- Scientific DescriptionMay play a role in promoting maturation and morphological differentiation of cerebellar neurons.
- ReactivityCanine, Human, Rat
- Storage Instruction-20°C or -80°C,2°C to 8°C
- UNSPSC41116161
![IHC-P analysis of human endometrium adenocarcinoma tissue using GTX84462 GAS7 antibody [2F6]. Antigen retrieval : Heat-induced epitope retrieval by 10mM citrate buffer, pH6.0, 100oC for 10min. Dilution : 1:50 IHC-P analysis of human endometrium adenocarcinoma tissue using GTX84462 GAS7 antibody [2F6]. Antigen retrieval : Heat-induced epitope retrieval by 10mM citrate buffer, pH6.0, 100oC for 10min. Dilution : 1:50](https://www.genetex.com/upload/website/prouct_img/normal/GTX84462/GTX84462_2749_IHC-P_w_23061420_302.webp)
![WB analysis of HEK293T cells transfected with GAS7 plasmid (Right) or empty vector (Left) for 48 hrs using GTX84462 GAS7 antibody [2F6]. Loading : 5 ug per lane WB analysis of HEK293T cells transfected with GAS7 plasmid (Right) or empty vector (Left) for 48 hrs using GTX84462 GAS7 antibody [2F6]. Loading : 5 ug per lane](https://www.genetex.com/upload/website/prouct_img/normal/GTX84462/GTX84462_4383_WB_w_23061420_832.webp)
![ICC/IF analysis of COS7 cells transiently transfected with GAS7 plasmid using GTX84462 GAS7 antibody [2F6]. ICC/IF analysis of COS7 cells transiently transfected with GAS7 plasmid using GTX84462 GAS7 antibody [2F6].](https://www.genetex.com/upload/website/prouct_img/normal/GTX84462/GTX84462_1092_ICCIF_w_23061420_289.webp)
![FACS analysis of HEK293T cells transfected with either GAS7 plasmid(Red) or empty vector control plasmid(Blue) using GTX84462 GAS7 antibody [2F6]. FACS analysis of HEK293T cells transfected with either GAS7 plasmid(Red) or empty vector control plasmid(Blue) using GTX84462 GAS7 antibody [2F6].](https://www.genetex.com/upload/website/prouct_img/normal/GTX84462/GTX84462_422_FACS_w_23061420_149.webp)
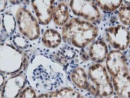
![IHC-P analysis of human kidney tissue using GTX84462 GAS7 antibody [2F6]. Antigen retrieval : Heat-induced epitope retrieval by 10mM citrate buffer, pH6.0, 100oC for 10min. Dilution : 1:50 IHC-P analysis of human kidney tissue using GTX84462 GAS7 antibody [2F6]. Antigen retrieval : Heat-induced epitope retrieval by 10mM citrate buffer, pH6.0, 100oC for 10min. Dilution : 1:50](https://www.genetex.com/upload/website/prouct_img/normal/GTX84462/GTX84462_2750_IHC-P_w_23061420_896.webp)






