
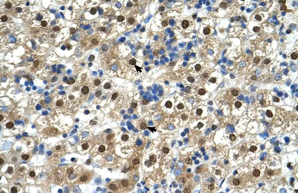
IHC-P analysis of human liver tissue using GTX46333 GDE1 antibody at 4.0-8.0microg/ml.
GDE1 antibody, N-term
GTX46333
ApplicationsWestern Blot, ImmunoHistoChemistry, ImmunoHistoChemistry Paraffin
Product group Antibodies
ReactivityHuman
TargetGDE1
Overview
- SupplierGeneTex
- Product NameGDE1 antibody, N-term
- Delivery Days Customer9
- Application Supplier NoteWB: 0.2-2.5 ug/ml. IHC-P: 2-10 ug/ml. *Optimal dilutions/concentrations should be determined by the researcher.Not tested in other applications.
- ApplicationsWestern Blot, ImmunoHistoChemistry, ImmunoHistoChemistry Paraffin
- CertificationResearch Use Only
- ClonalityPolyclonal
- Concentration0.5-1 mg/ml
- ConjugateUnconjugated
- Gene ID51573
- Target nameGDE1
- Target descriptionglycerophosphodiester phosphodiesterase 1
- Target synonyms363E6.2, MIR16, glycerophosphodiester phosphodiesterase 1, RGS16-interacting membrane protein, glycerophosphoinositol glycerophosphodiesterase GDE1, lysophospholipase D GDE1, membrane interacting protein of RGS16
- HostRabbit
- IsotypeIgG
- Protein IDQ9NZC3
- Protein NameGlycerophosphodiester phosphodiesterase 1
- ReactivityHuman
- Storage Instruction-20°C or -80°C,2°C to 8°C
- UNSPSC12352203







