
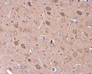
GDF6 antibody detects GDF6 protein at cytoplasm by immunohistochemical analysis. Sample: Paraffin-embedded mouse cerebellum. GDF6 stained by GDF6 antibody (GTX131252) diluted at 1:500. Antigen Retrieval: Citrate buffer, pH 6.0, 15 min
GDF6 antibody
GTX131252
ApplicationsWestern Blot, ImmunoHistoChemistry, ImmunoHistoChemistry Paraffin
Product group Antibodies
ReactivityHuman, Mouse, Rat
TargetGDF6
Overview
- SupplierGeneTex
- Product NameGDF6 antibody
- Delivery Days Customer9
- Application Supplier NoteWB: 1:500-1:3000. IHC-P: 1:100-1:1000. *Optimal dilutions/concentrations should be determined by the researcher.Not tested in other applications.
- ApplicationsWestern Blot, ImmunoHistoChemistry, ImmunoHistoChemistry Paraffin
- CertificationResearch Use Only
- ClonalityPolyclonal
- Concentration3.25 mg/ml
- ConjugateUnconjugated
- Gene ID392255
- Target nameGDF6
- Target descriptiongrowth differentiation factor 6
- Target synonymsBMP-13, BMP13, CDMP2, KFM, KFS, KFS1, KFSL, SGM1, SYNS4, growth/differentiation factor 6, bone morphogenetic protein 13, growth/differentiation factor 16
- HostRabbit
- IsotypeIgG
- Protein IDQ6KF10
- Protein NameGrowth/differentiation factor 6
- Scientific DescriptionThis gene encodes a member of the bone morphogenetic protein (BMP) family and the TGF-beta superfamily of secreted signaling molecules. It is required for normal formation of some bones and joints in the limbs, skull, and axial skeleton. Mutations in this gene result in colobomata, which are congenital abnormalities in ocular development, and in Klippel-Feil syndrome (KFS), which is a congenital disorder of spinal segmentation. [provided by RefSeq]
- ReactivityHuman, Mouse, Rat
- Storage Instruction-20°C or -80°C,2°C to 8°C
- UNSPSC12352203
References
- Miyazaki K, Miyazaki S, Yurube T, et al. Protective Effects of Growth Differentiation Factor-6 on the Intervertebral Disc: An In Vitro and In Vivo Study. Cells. 2022,11(7). doi: 10.3390/cells11071174Read this paper







