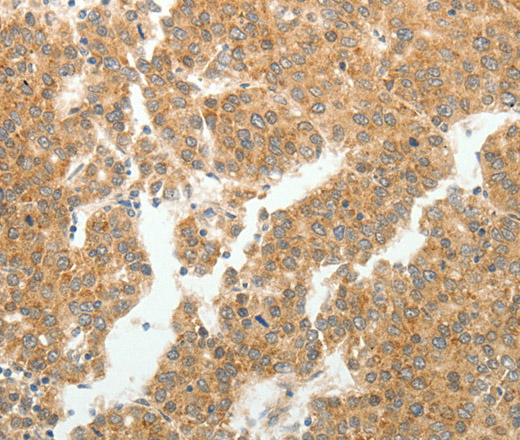
Immunohistochemistry of paraffin-embedded Human liver cancer tissue using GEMIN2 Polyclonal Antibody at dilution 1:40
GEMIN2 Polyclonal Antibody
E-AB-15852
Product group Antibodies
Overview
- SupplierElabscience
- Product NameGEMIN2 Polyclonal Antibody
- Delivery Days Customer12
- Applications SupplierELISA IHC
- CertificationResearch Use Only
- Concentration0.2mg/ml
- Scientific DescriptionThis gene encodes one of the proteins found in the SMN complex, which consists of several gemin proteins and the protein known as the survival of motor neuron protein. The SMN complex is localized to a subnuclear compartment called gems (gemini of coiled bodies) and is required for assembly of spliceosomal snRNPs and for pre-mRNA splicing. This protein interacts directly with the survival of motor neuron protein and it is required for formation of the SMN complex. A knockout mouse targeting the mouse homolog of this gene exhibited disrupted snRNP assembly and motor neuron degeneration.
- UNSPSC12352203





