
Sample (30 ug of whole cell lysate) A: A431 (GTX27909) 7.5% SDS PAGE GTX106461 diluted at 1:2000
GGA3 antibody [C3], C-term
GTX106461
ApplicationsImmunoFluorescence, Western Blot, ImmunoCytoChemistry, ImmunoHistoChemistry, ImmunoHistoChemistry Paraffin
Product group Antibodies
ReactivityHuman, Mouse
TargetGGA3
Overview
- SupplierGeneTex
- Product NameGGA3 antibody [C3], C-term
- Delivery Days Customer9
- Application Supplier NoteWB: 1:500-1:3000. ICC/IF: 1:100-1:1000. IHC-P: 1:100-1:1000. *Optimal dilutions/concentrations should be determined by the researcher.Not tested in other applications.
- ApplicationsImmunoFluorescence, Western Blot, ImmunoCytoChemistry, ImmunoHistoChemistry, ImmunoHistoChemistry Paraffin
- CertificationResearch Use Only
- ClonalityPolyclonal
- Concentration0.59 mg/ml
- ConjugateUnconjugated
- Gene ID23163
- Target nameGGA3
- Target descriptiongolgi associated, gamma adaptin ear containing, ARF binding protein 3
- Target synonymsADP-ribosylation factor-binding protein GGA3, Golgi-localized, gamma ear-containing, ARF-binding protein 3
- HostRabbit
- IsotypeIgG
- Protein IDQ9NZ52
- Protein NameADP-ribosylation factor-binding protein GGA3
- Scientific DescriptionThis gene encodes a member of the Golgi-localized, gamma adaptin ear-containing, ARF-binding (GGA) family. This family includes ubiquitous coat proteins that regulate the trafficking of proteins between the trans-Golgi network and the lysosome. These proteins share an amino-terminal VHS domain which mediates sorting of the mannose 6-phosphate receptors at the trans-Golgi network. They also contain a carboxy-terminal region with homology to the ear domain of gamma-adaptins. Alternative splicing of this gene results in two transcript variants. [provided by RefSeq]
- ReactivityHuman, Mouse
- Storage Instruction-20°C or -80°C,2°C to 8°C
- UNSPSC41116161
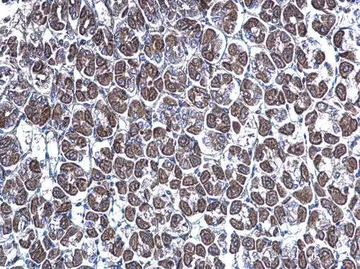
![GGA3 antibody [C3], C-term detects GGA3 protein at cytoplasm on mouse stomach by immunohistochemical analysis. Sample: Paraffin-embedded mouse stomach. GGA3 antibody [C3], C-term (GTX106461) diluted at 1:500.
Antigen Retrieval: Trilogy? (EDTA based, pH 8.0) buffer, 15min GGA3 antibody [C3], C-term detects GGA3 protein at cytoplasm on mouse stomach by immunohistochemical analysis. Sample: Paraffin-embedded mouse stomach. GGA3 antibody [C3], C-term (GTX106461) diluted at 1:500.
Antigen Retrieval: Trilogy? (EDTA based, pH 8.0) buffer, 15min](https://www.genetex.com/upload/website/prouct_img/normal/GTX106461/GTX106461_39890_20150123_IHC_M_w_23060120_590.webp)

![GGA3 antibody [C3], C-term detects GGA3 protein at Golgi apparatus by immunofluorescent analysis. Sample: HeLa cells were fixed in ice-cold MeOH for 5 min. Green: GGA3 protein stained by GGA3 antibody [C3], C-term (GTX106461) diluted at 1:500. Blue: Hoechst 33342 staining. GGA3 antibody [C3], C-term detects GGA3 protein at Golgi apparatus by immunofluorescent analysis. Sample: HeLa cells were fixed in ice-cold MeOH for 5 min. Green: GGA3 protein stained by GGA3 antibody [C3], C-term (GTX106461) diluted at 1:500. Blue: Hoechst 33342 staining.](https://www.genetex.com/upload/website/prouct_img/normal/GTX106461/GTX106461_39890_IFA_w_23060120_250.webp)





