![Various tissue extracts (50 μg) were separated by 10% SDS-PAGE, and the membrane was blotted with GNAZ antibody [N2C3] (GTX105832) diluted at 1:1000. Various tissue extracts (50 μg) were separated by 10% SDS-PAGE, and the membrane was blotted with GNAZ antibody [N2C3] (GTX105832) diluted at 1:1000.](https://www.genetex.com/upload/website/prouct_img/normal/GTX105832/GTX105832_39953_20161103_WB_M_R_w_23060120_937.webp)
Various tissue extracts (50 μg) were separated by 10% SDS-PAGE, and the membrane was blotted with GNAZ antibody [N2C3] (GTX105832) diluted at 1:1000.
GNAZ antibody [N2C3]
GTX105832
ApplicationsWestern Blot, ImmunoHistoChemistry, ImmunoHistoChemistry Paraffin
Product group Antibodies
ReactivityHuman, Mouse, Rat
TargetGNAZ
Overview
- SupplierGeneTex
- Product NameGNAZ antibody [N2C3]
- Delivery Days Customer9
- Application Supplier NoteWB: 1:500-1:3000. IHC-P: 1:100-1:1000. *Optimal dilutions/concentrations should be determined by the researcher.Not tested in other applications.
- ApplicationsWestern Blot, ImmunoHistoChemistry, ImmunoHistoChemistry Paraffin
- CertificationResearch Use Only
- ClonalityPolyclonal
- Concentration1 mg/ml
- ConjugateUnconjugated
- Gene ID2781
- Target nameGNAZ
- Target descriptionG protein subunit alpha z
- Target synonymsHG1H, gz-alpha, guanine nucleotide-binding protein G(z) subunit alpha, g(x) alpha chain, guanine nucleotide binding protein (G protein), alpha z polypeptide, heterotrimeric guanine nucleotide-binding protein 1H, transducin alpha
- HostRabbit
- IsotypeIgG
- Protein IDP19086
- Protein NameGuanine nucleotide-binding protein G(z) subunit alpha
- Scientific DescriptionThe protein encoded by this gene is a member of a G protein subfamily that mediates signal transduction in pertussis toxin-insensitive systms. This encoded protein may play a role in maintaining the ionic balance of perilymphatic and endolymphatic cochlear fluids. [provided by RefSeq]
- ReactivityHuman, Mouse, Rat
- Storage Instruction-20°C or -80°C,2°C to 8°C
- UNSPSC41116161
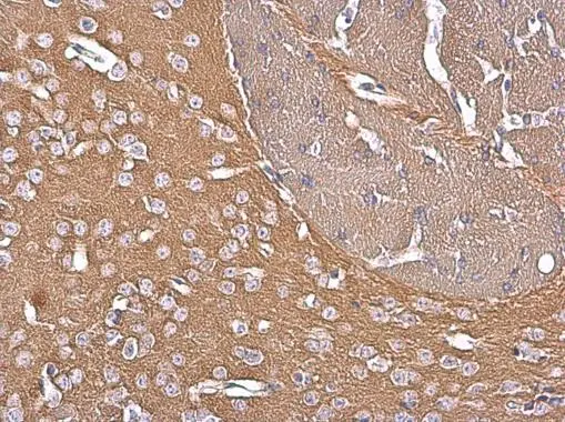
![GNAZ antibody [N2C3] detects GNAZ protein at cytoplasm by immunohistochemical analysis. Sample: Paraffin-embedded mouse brain. GNAZ stained by GNAZ antibody [N2C3] (GTX105832) diluted at 1:500. GNAZ antibody [N2C3] detects GNAZ protein at cytoplasm by immunohistochemical analysis. Sample: Paraffin-embedded mouse brain. GNAZ stained by GNAZ antibody [N2C3] (GTX105832) diluted at 1:500.](https://www.genetex.com/upload/website/prouct_img/normal/GTX105832/GTX105832_39953_20180814_IHC-P_M_w_23060120_104.webp)
![Various tissue extracts (50 μg) were separated by 10% SDS-PAGE, and the membranes were blotted with GNAZ antibody [N2C3] (GTX105832) diluted at 1:2000 and competitor's antibody (SC-388) diluted by 1:2000. Various tissue extracts (50 μg) were separated by 10% SDS-PAGE, and the membranes were blotted with GNAZ antibody [N2C3] (GTX105832) diluted at 1:2000 and competitor's antibody (SC-388) diluted by 1:2000.](https://www.genetex.com/upload/website/prouct_img/normal/GTX105832/GTX105832_39953_20170209_WB_M_R_competitor_watermark_w_23060120_953.webp)

![Various whole cell extracts (30 μg) were separated by 10% SDS-PAGE, and the membranes were blotted with GNAZ antibody [N2C3] (GTX105832) diluted at 1:500 and competitor's antibody (SC-388) diluted by 1:200. Various whole cell extracts (30 μg) were separated by 10% SDS-PAGE, and the membranes were blotted with GNAZ antibody [N2C3] (GTX105832) diluted at 1:500 and competitor's antibody (SC-388) diluted by 1:200.](https://www.genetex.com/upload/website/prouct_img/normal/GTX105832/GTX105832_39953_20161229_WB_competitor_watermark_w_23060120_733.webp)





![Various tissue extracts (50 μg) were separated by 10% SDS-PAGE, and the membrane was blotted with GNAZ antibody [N1C1] (GTX114441) diluted at 1:5000.](https://www.genetex.com/upload/website/prouct_img/normal/GTX114441/GTX114441_40191_20161229_WB_M_R_w_23060501_672.webp)