
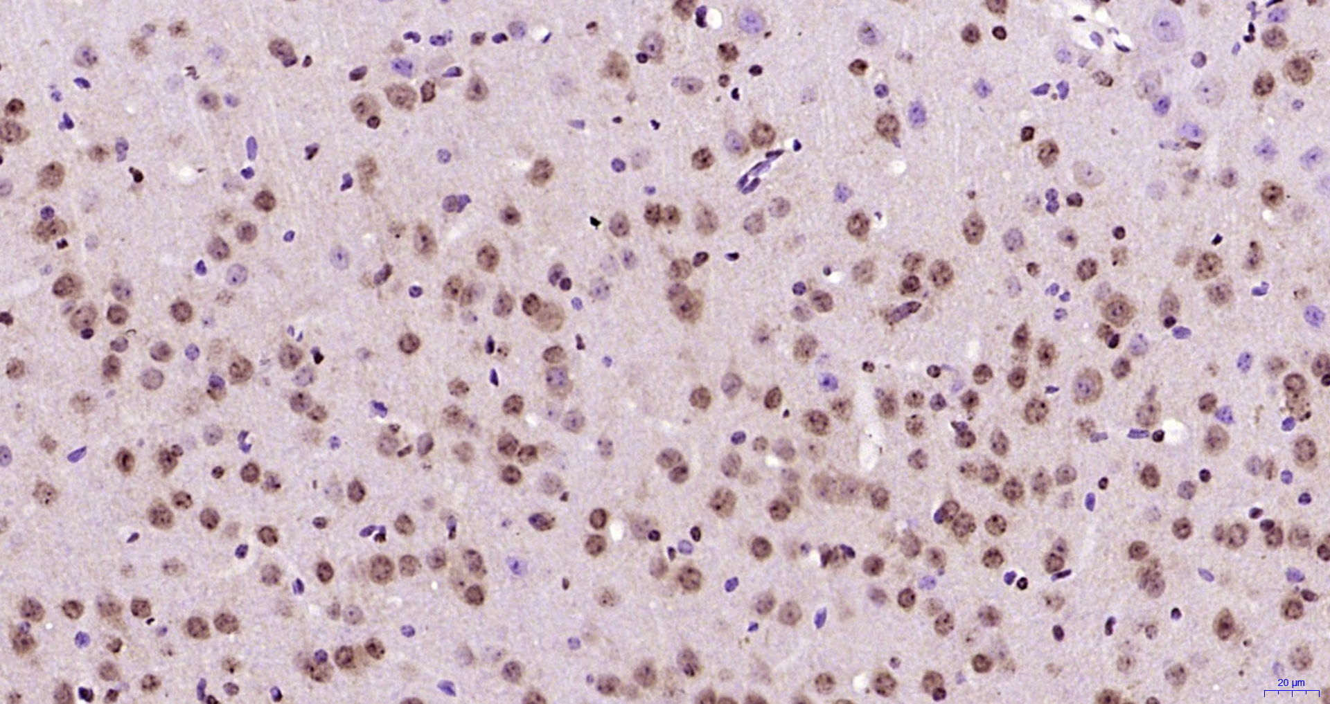
Paraformaldehyde-fixed, paraffin embedded Rat brain; Antigen retrieval by boiling in sodium citrate buffer (pH6.0) for 15min; Block endogenous peroxidase by 3% hydrogen peroxide for 20 minutes; Blocking buffer (normal goat serum) at 37°C for 30min; Antibody incubation with GNL3L Polyclonal Antibody, Unconjugated (bs-13472R) at 1:200 overnight at 4°C, DAB staining.
GNL3L Polyclonal Antibody
BS-13472R
ApplicationsImmunoFluorescence, ELISA, ImmunoCytoChemistry, ImmunoHistoChemistry, ImmunoHistoChemistry Frozen, ImmunoHistoChemistry Paraffin
Product group Antibodies
ReactivityBovine, Canine, Equine, Human, Mouse, Porcine, Rabbit, Rat
TargetGNL3L
Overview
- SupplierBioss
- Product NameGNL3L Polyclonal Antibody
- Delivery Days Customer16
- ApplicationsImmunoFluorescence, ELISA, ImmunoCytoChemistry, ImmunoHistoChemistry, ImmunoHistoChemistry Frozen, ImmunoHistoChemistry Paraffin
- Applications SupplierELISA(1:500-1000), IHC-P(1:200-400), IHC-F(1:100-500), IF(IHC-P)(1:50-200), IF(IHC-F)(1:50-200), IF(ICC)(1:50-200)
- CertificationResearch Use Only
- ClonalityPolyclonal
- Concentration1 ug/ul
- ConjugateUnconjugated
- Gene ID54552
- Target nameGNL3L
- Target descriptionG protein nucleolar 3 like
- Target synonymsGNL3B, guanine nucleotide-binding protein-like 3-like protein, G protein nucleolar 3B, guanine nucleotide binding protein-like 3 (nucleolar)-like, novel GTPase
- HostRabbit
- IsotypeIgG
- ReactivityBovine, Canine, Equine, Human, Mouse, Porcine, Rabbit, Rat
- Storage Instruction-20°C
- UNSPSC12352203









