Goat anti-CEP290
EB09122
ApplicationsELISA, ImmunoCytoChemistry, ImmunoHistoChemistry
Product group Antibodies
TargetCEP290
Overview
- SupplierEverest Biotech
- Product NameGoat anti-CEP290 Antibody
- Delivery Days Customer5
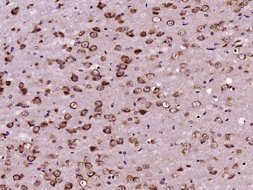
- Application Supplier NoteImmunocytochemistry: Formaldehyde-fixed cell lines derived from Prostate Cancer and from Breast Cancer show typical centrosomal staining. Recommended concentration: 2-3ug/ml.
- ApplicationsELISA, ImmunoCytoChemistry, ImmunoHistoChemistry
- Applications SupplierPep-ELISA, IHC, ICC
- CertificationResearch Use Only
- ClonalityPolyclonal
- Concentration0.5 mg/ml
- Gene ID80184
- Target nameCEP290
- Target descriptioncentrosomal protein 290
- Target synonyms3H11Ag, BBS14, CT87, JBTS5, LCA10, MKS4, NPHP6, POC3, SLSN6, rd16, centrosomal protein of 290 kDa, Bardet-Biedl syndrome 14 protein, CTCL tumor antigen se2-2, Meckel syndrome, type 4, POC3 centriolar protein homolog, cancer/testis antigen 87, centrosomal protein 290kDa, monoclonal antibody 3H11 antigen, nephrocytsin-6, prostate cancer antigen T21, tumor antigen se2-2
- HostGoat
- Scientific DescriptionRefSeq number(s): NP_079390.3. GeneIDs all Nonhuman: 216274 (mouse);. Purification: Antigen affinity purified. Names and symbols: CEP290; centrosomal protein 290kDa; 3H11Ag, BBS14, FLJ13615, FLJ21979, JBTS5, JBTS6, KIAA0373, LCA10, MKS4, NPHP6, SLSN6, rd16; CTCL tumor antigen se2-2; monoclonal antibody 3H11 antigen; nephrocytsin-6; prostate cancer antigen T21
- Reactivity SupplierHuman
- Storage Instruction-20°C
- UNSPSC12352203









