
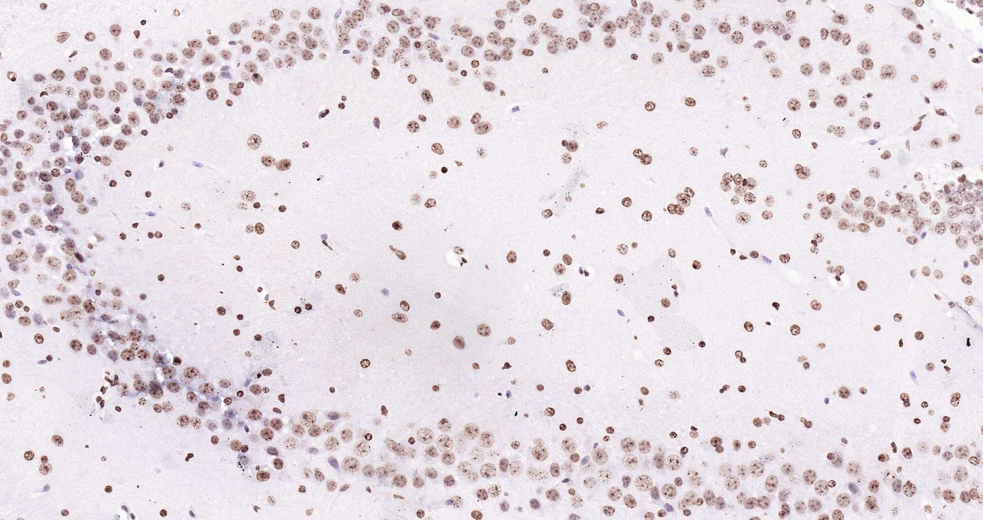
Paraformaldehyde-fixed, paraffin embedded (mouse brain); Antigen retrieval by boiling in sodium citrate buffer (pH6.0) for 15min; Block endogenous peroxidase by 3% hydrogen peroxide for 20 minutes; Blocking buffer (normal goat serum) at 37°C for 30min; Antibody incubation with (GFAP) Polyclonal Antibody, Unconjugated (bs-0199R) at 1:200 overnight at 4°C, followed by operating according to SP Kit(Rabbit) (sp-0023 bs-0295G-Bio 1:1000) instructionsand DAB staining.
Goat Anti-Rabbit IgG Antibody (H+L), Biotin Conjugated
BS-0295G-BIOTIN
ApplicationsWestern Blot, ELISA, ImmunoHistoChemistry, ImmunoHistoChemistry Frozen, ImmunoHistoChemistry Paraffin
Product group Antibodies
ReactivityRabbit
Overview
- SupplierBioss
- Product NameGoat Anti-Rabbit IgG Antibody (H+L), Biotin Conjugated
- Delivery Days Customer16
- ApplicationsWestern Blot, ELISA, ImmunoHistoChemistry, ImmunoHistoChemistry Frozen, ImmunoHistoChemistry Paraffin
- Applications SupplierWB(1:300-5000), ELISA(1:500-1000), IHC-P(1:50-200), IHC-F(1:50-200)
- CertificationResearch Use Only
- ClonalityPolyclonal
- Concentration1 ug/ul
- ConjugateBiotin
- HostGoat
- IsotypeIgG
- ReactivityRabbit
- Storage Instruction-20°C
- UNSPSC41116161
References
- Role of Brd4 in the production of inflammatory cytokines in mouse macrophages treated with titanium particles. Ren Y et al., 2019 Jul 22, Can J Physiol PharmacolRead this paper
- Anti-aging effects exerted by Tetramethylpyrazine enhances self-renewal and neuronal differentiation of rat bMSCs by suppressing NF-kB signaling. Song X et al., 2019 Jun 28, Biosci RepRead this paper
- siRNA-mediated silencing of PAI-1 gene acts as a promoter over the recanalization of endothelial progenitor cells in rats with venous thrombosis. Li H et al., 2019 Nov, J Cell PhysiolRead this paper
- Influence of the Maillard-type caseinate glycation with lactose on the intestinal barrier activity of the caseinate digest in IEC-6 cells. Shi J et al., 2019 Apr 17, Food FunctRead this paper
- Ivermectin treatment inhibits the replication of Porcine circovirus 2 (PCV2) in vitro and mitigates the impact of viral infection in piglets. Wang X et al., 2019 Apr 2, Virus ResRead this paper
- Effect of caseinate glycation with oligochitosan and transglutaminase on the intestinal barrier function of the tryptic caseinate digest in IEC-6 cells. Shi J et al., 2019 Feb 20, Food FunctRead this paper
- Dynamic distribution and tissue tropism of avian encephalomyelitis virus isolate XY/Q-1410 in experimentally infected Korean quail. Fan L et al., 2017 Nov, Arch VirolRead this paper
- Different expression patterns of Lin28 and Lin28b in mouse molar development. Dong N et al., 2017 Oct, Arch Oral BiolRead this paper
- Batf3-dependent CD8alpha+ Dendritic Cells Aggravates Atherosclerosis via Th1 Cell Induction and Enhanced CCL5 Expression in Plaque Macrophages. Li Y et al., 2017 Apr, EBioMedicineRead this paper
- Asiaticoside ameliorates beta-amyloid-induced learning and memory deficits in rats by inhibiting mitochondrial apoptosis and reducing inflammatory factors. Zhang Z et al., 2017 Feb, Exp Ther MedRead this paper








