
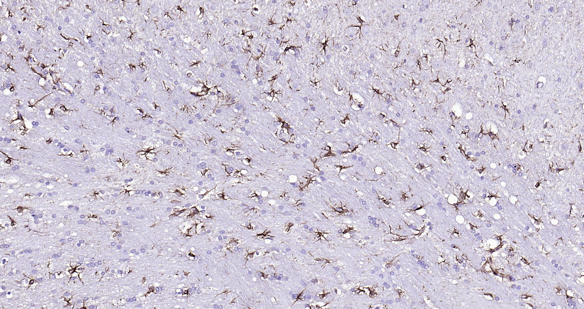
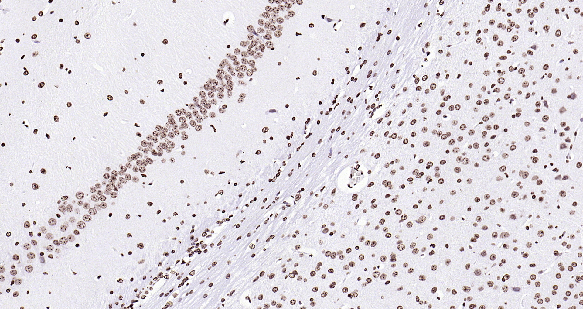
Paraformaldehyde-fixed, paraffin embedded (mouse brain); Antigen retrieval by boiling in sodium citrate buffer (pH6.0) for 15min; Block endogenous peroxidase by 3% hydrogen peroxide for 20 minutes; Blocking buffer (normal goat serum) at 37°C for 30min; Antibody incubation with (GFAP) Polyclonal Antibody, Unconjugated (bs-0199R) at 1:200 overnight at 4°C, followed by operating according to SP Kit(Rabbit) (sp-0023 bs-0295G-HRP 1:300) instructionsand DAB staining.
Goat Anti-Rabbit IgG Antibody (H+L), HRP Conjugated
BS-0295G-HRP
ApplicationsWestern Blot, ELISA, ImmunoHistoChemistry, ImmunoHistoChemistry Frozen, ImmunoHistoChemistry Paraffin
Product group Antibodies
ReactivityRabbit
Overview
- SupplierBioss
- Product NameGoat Anti-Rabbit IgG Antibody (H+L), HRP Conjugated
- Delivery Days Customer16
- ApplicationsWestern Blot, ELISA, ImmunoHistoChemistry, ImmunoHistoChemistry Frozen, ImmunoHistoChemistry Paraffin
- Applications SupplierWB(1:300-5000), ELISA(1:500-1000), IHC-P(1:50-200), IHC-F(1:50-200)
- CertificationResearch Use Only
- ClonalityPolyclonal
- Concentration1 ug/ul
- ConjugateHRP
- HostGoat
- IsotypeIgG
- ReactivityRabbit
- Storage Instruction-20°C
- UNSPSC41116161
References
- Calcium Channels as Novel Therapeutic Targets for Ovarian Cancer Stem Cells. Lee H et al., 2020 Mar 27, Int J Mol SciRead this paper
- An in vitro and in vivo study of the brain-targeting effects of an epidermal growth factor-functionalized cholera toxin-like chimeric protein. He H et al., 2020 Jun 10, J Control ReleaseRead this paper
- Elevated MicroRNA-326 Levels Regulate the IL-23/IL-23R/Th17 Cell Axis in Hashimotos Thyroiditis by Targeting a Disintegrin and Metalloprotease 17. Liu Y et al., 2020 Sep, ThyroidRead this paper
- HJ22, a Novel derivative of piperine, Attenuates ibotenic acid-induced cognitive impairment, oxidativestress, apoptosis and inflammation via inhibiting the protein-protein interaction of Keap1-Nrf2. Yang X et al., 2020 Jun, Int ImmunopharmacolRead this paper
- Modulating NMDA receptors to treat MK-801-induced schizophrenic cognition deficit: effects of clozapine combining with PQQ treatment and possible mechanisms of action. Zhou X et al., 2020 Mar 6, BMC PsychiatryRead this paper
- Protective Effects of Chromium Picolinate Against Diabetic-Induced Renal Dysfunction and Renal Fibrosis in Streptozotocin-Induced Diabetic Rats. Qi SS et al., 2020 Mar 4, BiomoleculesRead this paper
- Walnut Polyphenol Extract Protects against Malathion- and Chlorpyrifos-Induced Immunotoxicity by Modulating TLRx-NOX-ROS. Zhao Y et al., 2020 Feb 27, NutrientsRead this paper
- Neuroprotection by Walnut-Derived Peptides through Autophagy Promotion via Akt/mTOR Signaling Pathway against Oxidative Stress in PC12 Cells. Zhao F et al., 2020 Mar 18, J Agric Food ChemRead this paper
- LINC00978 promotes hepatocellular carcinoma carcinogenesis partly via activating the MAPK/ERK pathway. Zhang Q et al., 2020 Mar 27, Biosci RepRead this paper
- Nanobody production can be simplified by direct secretion from Escherichia coli. Iwaki T et al., 2020 Jun, Protein Expr PurifRead this paper








