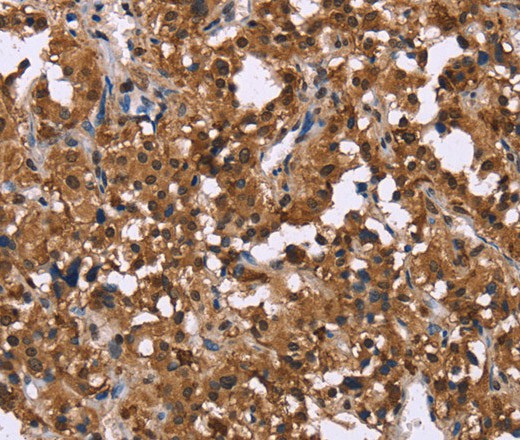
Immunohistochemistry of paraffin-embedded Human thyroid cancer tissue using GPR171 Polyclonal Antibody at dilution 1:40
GPR171 Polyclonal Antibody
E-AB-16469
Product group Antibodies
Overview
- SupplierElabscience
- Product NameGPR171 Polyclonal Antibody
- Delivery Days Customer12
- Applications SupplierELISA IHC
- CertificationResearch Use Only
- Concentration0.9mg/ml
- Scientific DescriptionProbable G-protein coupled receptor 171 (GPR171) is a protein that in humans is encoded by the GPR171 gene. One of the most abundant peptides in brain, LENSSPQAPARRLLPP (named BigLEN), which can activate GPR171. Additional studies showed that the BigLEN-GPR171 system plays an important role in regulating feeding and metabolism in mice. Thus, GPR171 is a potential target for developing antiobesity drugs.
- UNSPSC12352203






