
HepG2 and mitochondria extracts (30 μg) were separated by SDS-PAGE, and the membrane was blotted with Grp75 antibody (GTX104407) diluted at 1:3000. The HRP-conjugated anti-rabbit IgG antibody (GTX213110-01) was used to detect the primary antibody.
Grp75 antibody
GTX104407
ApplicationsImmunoFluorescence, ImmunoPrecipitation, Western Blot, ImmunoCytoChemistry, ImmunoHistoChemistry, ImmunoHistoChemistry Paraffin
Product group Antibodies
ReactivityHuman, Mouse, Porcine, Rat
TargetHSPA9
Overview
- SupplierGeneTex
- Product NameGrp75 antibody
- Delivery Days Customer9
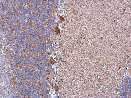
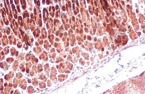
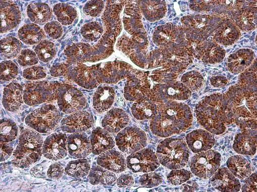
- Application Supplier NoteWB: 1:500-1:3000. ICC/IF: 1:100-1:1000. IHC-P: 1:100-1:1000. IP: 1:100-1:500. *Optimal dilutions/concentrations should be determined by the researcher.Not tested in other applications.
- ApplicationsImmunoFluorescence, ImmunoPrecipitation, Western Blot, ImmunoCytoChemistry, ImmunoHistoChemistry, ImmunoHistoChemistry Paraffin
- CertificationResearch Use Only
- ClonalityPolyclonal
- Concentration0.42 mg/ml
- ConjugateUnconjugated
- Gene ID3313
- Target nameHSPA9
- Target descriptionheat shock protein family A (Hsp70) member 9
- Target synonymsCRP40, CSA, EVPLS, GRP-75, GRP75, HEL-S-124m, HSPA9B, MOT, MOT2, MTHSP75, PBP74, SAAN, SIDBA4, stress-70 protein, mitochondrial, 75 kDa glucose-regulated protein, catecholamine-regulated protein 40, epididymis secretory sperm binding protein Li 124m, heat shock 70kD protein 9B, heat shock 70kDa protein 9 (mortalin), heat shock protein family A member 9, mortalin, perinuclear, mortalin-2, mortalin2, p66-mortalin, peptide-binding protein 74
- HostRabbit
- IsotypeIgG
- Protein IDP38646
- Protein NameStress-70 protein, mitochondrial
- Scientific DescriptionThis gene encodes a member of the heat shock protein 70 gene family. The encoded protein is primarily localized to the mitochondria but is also found in the endoplasmic reticulum, plasma membrane and cytoplasmic vesicles. This protein is a heat-shock cognate protein. This protein plays a role in cell proliferation, stress response and maintenance of the mitochondria. A pseudogene of this gene is found on chromosome 2.[provided by RefSeq, May 2010]
- ReactivityHuman, Mouse, Porcine, Rat
- Storage Instruction-20°C or -80°C,2°C to 8°C
- UNSPSC12352203
References
- Su YS, Hsieh PY, Li JS, et al. The Heat Shock Protein 70 Family of Chaperones Regulates All Phases of the Enterovirus A71 Life Cycle. Front Microbiol. 2020,11:1656. doi: 10.3389/fmicb.2020.01656Read this paper
- Bassoy EY, Kasahara A, Chiusolo V, et al. ER-mitochondria contacts control surface glycan expression and sensitivity to killer lymphocytes in glioma stem-like cells. EMBO J. 2017,36(11):1493-1512. doi: 10.15252/embj.201695429Read this paper
- Lo YW, Lin ST, Chang SJ, et al. Mitochondrial proteomics with siRNA knockdown to reveal ACAT1 and MDH2 in the development of doxorubicin-resistant uterine cancer. J Cell Mol Med. 2015,19(4):744-59. doi: 10.1111/jcmm.12388Read this paper
- Chou HC, Chan HL. Effect of glutathione reductase knockdown in response to UVB-induced oxidative stress in human lung adenocarcinoma. Proteome Sci. 2014,12(1):2. doi: 10.1186/1477-5956-12-2Read this paper














