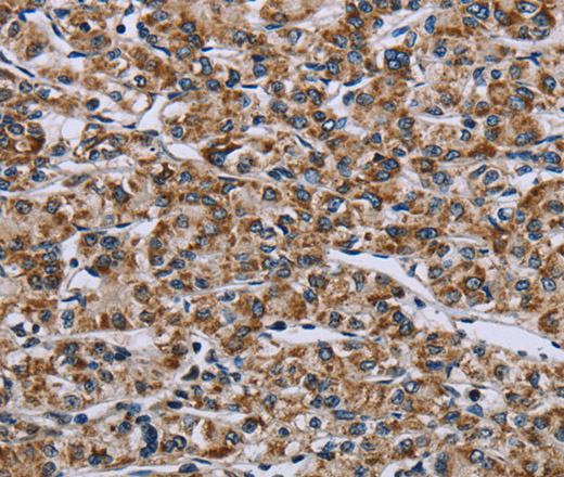
Immunohistochemistry of paraffin-embedded Human prostate cancer tissue using GTPBP10 Polyclonal Antibody at dilution 1:60
GTPBP10 Polyclonal Antibody
E-AB-15089
Product group Antibodies
Overview
- SupplierElabscience
- Product NameGTPBP10 Polyclonal Antibody
- Delivery Days Customer12
- Applications SupplierELISA IHC
- CertificationResearch Use Only
- Concentration0.6mg/ml
- Scientific DescriptionSmall G proteins, such as GTPBP10, act as molecular switches that play crucial roles in the regulation of fundamental cellular processes such as protein synthesis, nuclear transport, membrane trafficking, and signal transduction
- UNSPSC12352203






