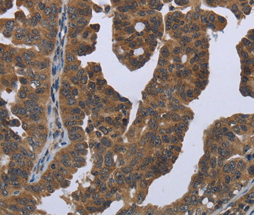
Immunohistochemistry of paraffin-embedded Human ovarian cancer tissue using GYS2 Polyclonal Antibody at dilution 1:50
GYS2 Polyclonal Antibody
E-AB-11276
Product group Antibodies
Overview
- SupplierElabscience
- Product NameGYS2 Polyclonal Antibody
- Delivery Days Customer12
- Applications SupplierELISA IHC
- CertificationResearch Use Only
- Concentration0.3mg/ml
- Scientific DescriptionThe protein encoded by this gene, liver glycogen synthase, catalyzes the rate-limiting step in the synthesis of glycogen - the transfer of a glucose molecule from UDP-glucose to a terminal branch of the glycogen molecule. Mutations in this gene cause glycogen storage disease type 0 (GSD-0) - a rare type of early childhood fasting hypoglycemia with decreased liver glycogen content.
- UNSPSC12352203




