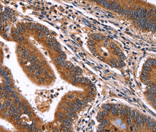
Immunohistochemistry of paraffin-embedded Human colon cancer tissue using HACE1 Polyclonal Antibody at dilution 1:50
HACE1 Polyclonal Antibody
E-AB-16474
Product group Antibodies
Overview
- SupplierElabscience
- Product NameHACE1 Polyclonal Antibody
- Delivery Days Customer12
- Applications SupplierELISA IHC
- CertificationResearch Use Only
- Concentration1.5mg/ml
- Scientific DescriptionHACE1 (HECT domain and ankyrin repeat containing, E3 ubiquitin protein ligase 1), also known as KIAA1320, is a 909 amino acid protein that localizes to both the cytoplasm and the endoplasmic reticulum and contains one HECT domain and six ANK repeats. Expressed in kidney, heart and brain, HACE1 functions as an E3 ubiquitin-protein ligase that interacts with the proteasome and is thought to play a role in protein degradation. HACE1 is downregulated in Wilms tumor, suggesting a possible role in tumor suppression.
- UNSPSC12352203






