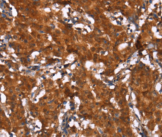
Immunohistochemistry of paraffin-embedded Human gasrtic cancer tissue using HCAR2 Polyclonal Antibody at dilution 1:40
HCAR2 Polyclonal Antibody
E-AB-16467
Product group Antibodies
Overview
- SupplierElabscience
- Product NameHCAR2 Polyclonal Antibody
- Delivery Days Customer12
- Applications SupplierELISA IHC
- CertificationResearch Use Only
- Concentration0.5mg/ml
- Scientific DescriptionHCAR2, also known as PUMAG or Puma-g, is a member of the G protein coupled receptor (GPCR) superfamily. HCAR2 is highly expressed in adipocytes, immune cells and spleen. Like all members of the GPCR superfamily, HCAR2 contains seven transmembrane domains.
- UNSPSC12352203




