
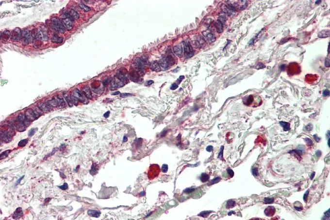
IHC-P analysis of human lung using GTX89440 Her3 / ErbB3 antibody, C-term. Antigen retrieval : citrate buffer pH 6 Dilution : 5microg/ml
Her3 / ErbB3 antibody, C-term
GTX89440
ApplicationsWestern Blot, ImmunoHistoChemistry, ImmunoHistoChemistry Paraffin
Product group Antibodies
TargetERBB3
Overview
- SupplierGeneTex
- Product NameHer3 / ErbB3 antibody, C-term
- Delivery Days Customer9
- Application Supplier NoteWB: 0.1-0.3microg/ml. IHC-P: 5microg/ml. *Optimal dilutions/concentrations should be determined by the researcher.Not tested in other applications.
- ApplicationsWestern Blot, ImmunoHistoChemistry, ImmunoHistoChemistry Paraffin
- CertificationResearch Use Only
- ClonalityPolyclonal
- Concentration0.50 mg/ml
- ConjugateUnconjugated
- Gene ID2065
- Target nameERBB3
- Target descriptionerb-b2 receptor tyrosine kinase 3
- Target synonymsErbB-3, FERLK, HER3, LCCS2, MDA-BF-1, VSCN1, c-erbB-3, c-erbB3, erbB3-S, p180-ErbB3, p45-sErbB3, p85-sErbB3, receptor tyrosine-protein kinase erbB-3, human epidermal growth factor receptor 3, proto-oncogene-like protein c-ErbB-3, tyrosine kinase-type cell surface receptor HER3, v-erb-b2 avian erythroblastic leukemia viral oncogene homolog 3
- HostGoat
- IsotypeIgG
- Protein IDP21860
- Protein NameReceptor tyrosine-protein kinase erbB-3
- Scientific DescriptionThis gene encodes a member of the epidermal growth factor receptor (EGFR) family of receptor tyrosine kinases. This membrane-bound protein has a neuregulin binding domain but not an active kinase domain. It therefore can bind this ligand but not convey the signal into the cell through protein phosphorylation. However, it does form heterodimers with other EGF receptor family members which do have kinase activity. Heterodimerization leads to the activation of pathways which lead to cell proliferation or differentiation. Amplification of this gene and/or overexpression of its protein have been reported in numerous cancers, including prostate, bladder, and breast tumors. Alternate transcriptional splice variants encoding different isoforms have been characterized. One isoform lacks the intermembrane region and is secreted outside the cell. This form acts to modulate the activity of the membrane-bound form. Additional splice variants have also been reported, but they have not been thoroughly characterized. [provided by RefSeq, Jul 2008]
- Storage Instruction-20°C or -80°C,2°C to 8°C
- UNSPSC12352203

![FACS analysis of Hela cells using GTX19389 Her3 / ErbB3 antibody [RTJ2] compared to an isotype control (blue). Dilution : 0.5 ug/test for 60 min at room temperature Fixation : 2% paraformaldehyde](https://www.genetex.com/upload/website/prouct_img/normal/GTX19389/GTX19389_126_FACS_w_23060620_203.webp)

![WB analysis of truncated Trx-ERBB3 recombinant protein (1), MBP-ERBB3 (aa1175-1275) recombinant protein (2) andtruncated ERBB3(aa665-1342)-hIgGFc transfected CH0-K1 cell lysate (3) using GTX83177 Her3 / ErbB3 antibody [2B11D11].](https://www.genetex.com/upload/website/prouct_img/normal/GTX83177/GTX83177_20170912_WB_w_23061322_370.webp)
![IHC-P analysis of human cerebra (left) and breast carcinoma tissue (right) using GTX83178 Her3 / ErbB3 antibody [3F10F6].](https://www.genetex.com/upload/website/prouct_img/normal/GTX83178/GTX83178_20170912_IHC-P_w_23061322_264.webp)
![ICC/IF analysis of HEK293 cells trasfected with extracellular ERBB3 (aa22-369)-hIgGFc using GTX83364 Her3 / ErbB3 antibody [2F9]. Green : Her3 / ErbB3 Blue: DRAQ5 fluorescent DNA dye](https://www.genetex.com/upload/website/prouct_img/normal/GTX83364/GTX83364_20170912_ICCIF_w_23061322_117.webp)


