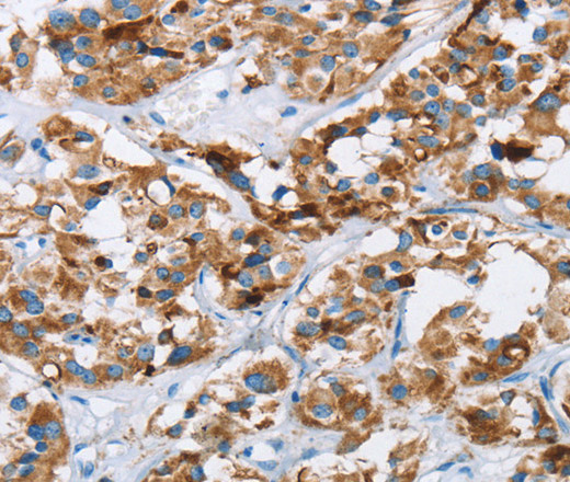
Immunohistochemistry of paraffin-embedded Human thyroid cancer tissue using HINT2 Polyclonal Antibody at dilution 1:40
HINT2 Polyclonal Antibody
E-AB-10363
ApplicationsImmunoHistoChemistry
Product group Antibodies
TargetHINT2
Overview
- SupplierElabscience
- Product NameHINT2 Polyclonal Antibody
- Delivery Days Customer12
- ApplicationsImmunoHistoChemistry
- Applications SupplierELISA IHC
- CertificationResearch Use Only
- ClonalityPolyclonal
- Concentration0.6 mg/ml
- ConjugateUnconjugated
- Gene ID84681
- Target nameHINT2
- Target descriptionhistidine triad nucleotide binding protein 2
- Target synonymsHIT-17, adenosine 5'-monophosphoramidase HINT2, HINT-2, HINT-3, HIT-17kDa, PKCI-1-related HIT protein, histidine triad nucleotide-binding protein 2, mitochondrial, protein kinase C inhibitor-2
- HostRabbit
- IsotypeIgG
- Protein IDQ9BX68
- Protein NameAdenosine 5'-monophosphoramidase HINT2
- Scientific DescriptionHint2 (histidine triad nucleotide binding protein 2), also known as HIT-17, is a 163 amino acid secreted protein that contains one HIT domain, a histidine triad that has catalytic activity toward the -phosphate of ribonucleotides. Via its HIT domain, Hint2 is thought to function as a hydrolase that is encoded by a gene whicHuman, Mouseaps to chromosome 9. Chromosome 9 contains 145 million base pairs and comprises 4% of the human genome, encoding nearly 900 genes. Hereditary hemorrhagic telangiectasia and Familial dysautonomia are both associated with chromosome 9. Notably, chromosome 9 encompasses the largest interferon family gene cluster.
- Storage Instruction-20°C
- UNSPSC41116161




