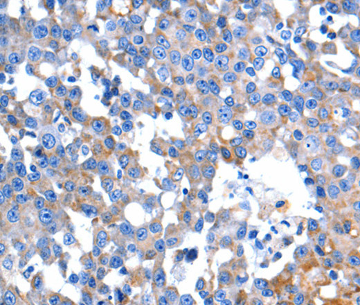
Immunohistochemistry of paraffin-embedded Human breast cancer tissue using HINT2 Polyclonal Antibody at dilution 1:60
HINT2 Polyclonal Antibody
E-AB-15710
Product group Antibodies
Overview
- SupplierElabscience
- Product NameHINT2 Polyclonal Antibody
- Delivery Days Customer12
- Applications SupplierELISA IHC
- CertificationResearch Use Only
- Concentration0.5mg/ml
- Scientific DescriptionHistidine triad proteins, such as HINT2, are nucleotide hydrolases and transferases that act on the alpha-phosphate of ribonucleotides. Hydrolase probably involved in steroid biosynthesis. May play a role in apoptosis. Has adenosine phosphoramidase activity.High expression in liver and pancreas. Expression is significantly down-regulated in hepatocellular carcinoma (HCC) patients.
- UNSPSC12352203




