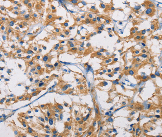
Immunohistochemistry of paraffin-embedded Human thyroid cancer tissue using HK1 Polyclonal Antibody at dilution 1:50
HK1 Polyclonal Antibody
E-AB-14707
ApplicationsImmunoHistoChemistry
Product group Antibodies
TargetHK1
Overview
- SupplierElabscience
- Product NameHK1 Polyclonal Antibody
- Delivery Days Customer12
- ApplicationsImmunoHistoChemistry
- Applications SupplierELISA IHC
- CertificationResearch Use Only
- ClonalityPolyclonal
- Concentration0.5 mg/ml
- ConjugateUnconjugated
- Gene ID3098
- Target nameHK1
- Target descriptionhexokinase 1
- Target synonymsCNSHA5, HK, HK1-ta, HK1-tb, HK1-tc, HKD, HKI, HMSNR, HXK1, NEDVIBA, NMSR, RP79, hexokinase, hexokinase-1, Neuropathy, hereditary motor and sensory, Russe type, brain form hexokinase, glycolytic enzyme, hexokinase IR, hexokinase type I, hexokinase-A
- HostRabbit
- IsotypeIgG
- Protein IDP19367
- Protein NameHexokinase-1
- Scientific DescriptionHexokinases phosphorylate glucose to produce glucose-6-phosphate, the first step in most glucose metabolism pathways. This gene encodes a ubiquitous form of hexokinase which localizes to the outer membrane of mitochondria. Mutations in this gene have been associated with hemolytic anemia due to hexokinase deficiency. Alternative splicing of this gene results in five transcript variants which encode different isoforms, some of which are tissue-specific. Each isoform has a distinct N-terminus; the remainder of the protein is identical among all the isoforms.
- Storage Instruction-20°C
- UNSPSC41116161







