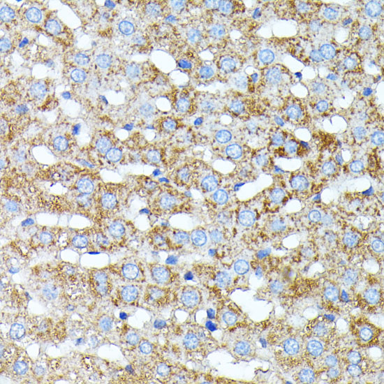
Immunohistochemistry of paraffin-embedded Rat liver using HP Polyclonal Antibody at dilution of 1:100 (40x lens).
HP Polyclonal Antibody
E-AB-60347
Product group Antibodies
Overview
- SupplierElabscience
- Product NameHP Polyclonal Antibody
- Delivery Days Customer12
- CertificationResearch Use Only
- Scientific DescriptionThis gene encodes a preproprotein, which is processed to yield both alpha and beta chains, which subsequently combine as a tetramer to produce haptoglobin. Haptoglobin functions to bind free plasma hemoglobin, which allows degradative enzymes to gain access to the hemoglobin, while at the same time preventing loss of iron through the kidneys and protecting the kidneys from damage by hemoglobin. Mutations in this gene and/or its regulatory regions cause ahaptoglobinemia or hypohaptoglobinemia. This gene has also been linked to diabetic nephropathy, the incidence of coronary artery disease in type 1 diabetes, Crohns disease, inflammatory disease behavior, primary sclerosing cholangitis, susceptibility to idiopathic Parkinsons disease, and a reduced incidence of Plasmodium falciparum malaria. The protein encoded also exhibits antimicrobial activity against bacteria. A similar duplicated gene is located next to this gene on chromosome 16. Multiple transcript variants encoding different isoforms have been found for this gene.
- UNSPSC12352203




