
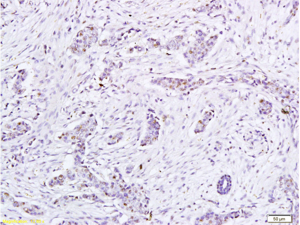
Paraformaldehyde-fixed, paraffin embedded human cervical cancer; Antigen retrieval by boiling in sodium citrate buffer (pH6.0) for 15min; Block endogenous peroxidase by 3% hydrogen peroxide for 20 minutes; Blocking buffer (normal goat serum) at 37°C for 30min; Antibody incubation with HPV16 E6 protein Polyclonal Antibody, Unconjugated (bs-0990R) at 1:400 overnight at 4°C, followed by a conjugated secondary for 20 minutes and DAB staining.
HPV16 E6 Polyclonal Antibody
BS-0990R
ApplicationsImmunoFluorescence, ELISA, ImmunoCytoChemistry, ImmunoHistoChemistry, ImmunoHistoChemistry Frozen, ImmunoHistoChemistry Paraffin
Product group Antibodies
ReactivityHuman, Virus
TargetE6
Overview
- SupplierBioss
- Product NameHPV16 E6 Polyclonal Antibody
- Delivery Days Customer16
- ApplicationsImmunoFluorescence, ELISA, ImmunoCytoChemistry, ImmunoHistoChemistry, ImmunoHistoChemistry Frozen, ImmunoHistoChemistry Paraffin
- Applications SupplierELISA(1:500-1000), IHC-P(1:200-400), IHC-F(1:100-500), IF(IHC-P)(1:50-200), IF(IHC-F)(1:50-200), IF(ICC)(1:50-200)
- CertificationResearch Use Only
- ClonalityPolyclonal
- Concentration1 ug/ul
- ConjugateUnconjugated
- Gene ID1489078
- Target nameE6
- Target descriptionprotein E6*;transforming protein E6
- Target synonymsHpV16gp1, protein E6*;transforming protein E6
- HostRabbit
- IsotypeIgG
- Protein IDP03126
- Protein NameProtein E6
- ReactivityHuman, Virus
- Storage Instruction-20°C
- UNSPSC41116161
References
- Long-term persistent infection of HPV 16 E6 up-regulate SP1 and hTERT by inhibiting LKB1 in lung cancer cells. Yang JH et al., 2017, PLoS OneRead this paper
- HPV16 E6/E7 upregulates HIF-2alpha and VEGF by inhibiting LKB1 in lung cancer cells. Shao JS et al., 2017 Jul, Tumour BiolRead this paper
