
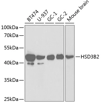
WB analysis of various sample lysates using GTX54092 HSD3B2 antibody. Dilution : 1:1000 Loading : 25μg per lane
HSD3B2 antibody
GTX54092
ApplicationsImmunoFluorescence, Western Blot, ImmunoCytoChemistry
Product group Antibodies
ReactivityHuman, Mouse
TargetHSD3B2
Overview
- SupplierGeneTex
- Product NameHSD3B2 antibody
- Delivery Days Customer7
- Application Supplier NoteWB: 1:500 - 1:2000. ICC/IF: 1:10 - 1:100. *Optimal dilutions/concentrations should be determined by the researcher.Not tested in other applications.
- ApplicationsImmunoFluorescence, Western Blot, ImmunoCytoChemistry
- CertificationResearch Use Only
- ClonalityPolyclonal
- Concentration1 mg/ml
- ConjugateUnconjugated
- Gene ID3284
- Target nameHSD3B2
- Target descriptionhydroxy-delta-5-steroid dehydrogenase, 3 beta- and steroid delta-isomerase 2
- Target synonymsHSD3B, HSDB, SDR11E2, 3 beta-hydroxysteroid dehydrogenase/Delta 5-->4-isomerase type 2, 3 beta-HSD type II, 3 beta-hydroxysteroid dehydrogenase type II, delta 5-delta 4-isomerase type II, 3 beta-HSD type II, 3 beta-hydroxysteroid dehydrogenase/Delta 5-->4-isomerase type II, 3-beta-HSD II, 3-beta-HSD adrenal and gonadal type, 3-beta-hydroxy-5-ene steroid dehydrogenase, 3-beta-hydroxy-Delta(5)-steroid dehydrogenase, delta 5-delta 4-isomerase type II, progesterone reductase, short chain dehydrogenase/reductase family 11E, member 2
- HostRabbit
- IsotypeIgG
- Protein IDP26439
- Protein Name3 beta-hydroxysteroid dehydrogenase/Delta 5-->4-isomerase type 2
- Scientific DescriptionThe protein encoded by this gene is a bifunctional enzyme that catalyzes the oxidative conversion of delta(5)-ene-3-beta-hydroxy steroid, and the oxidative conversion of ketosteroids. It plays a crucial role in the biosynthesis of all classes of hormonal steroids. This gene is predominantly expressed in the adrenals and the gonads. Mutations in this gene are associated with 3-beta-hydroxysteroid dehydrogenase, type II, deficiency. Alternatively spliced transcript variants have been found for this gene. [provided by RefSeq, Oct 2009]
- ReactivityHuman, Mouse
- Storage Instruction-20°C or -80°C,2°C to 8°C
- UNSPSC41116161





![HSD3B2 antibody [N3C3] detects HSD3B2 protein at cytoplasm by immunohistochemical analysis. Sample: Paraffin-embedded mouse adrenal gland. HSD3B2 stained by HSD3B2 antibody [N3C3] (GTX102813) diluted at 1:500. Antigen Retrieval: Citrate buffer, pH 6.0, 15 min](https://www.genetex.com/upload/website/prouct_img/normal/GTX102813/GTX102813_44517_20221118_IHC-P_M_22112219_939.webp)