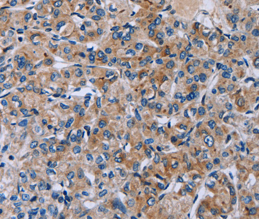
Immunohistochemistry of paraffin-embedded Human prostate cancer tissue using HSD3B2 Polyclonal Antibody at dilution 1:50
HSD3B2 Polyclonal Antibody
E-AB-15114
Product group Antibodies
Overview
- SupplierElabscience
- Product NameHSD3B2 Polyclonal Antibody
- Delivery Days Customer12
- Applications SupplierELISA IHC
- CertificationResearch Use Only
- Concentration0.2mg/ml
- Scientific DescriptionThe protein encoded by this gene is a bifunctional enzyme that catalyzes the oxidative conversion of delta(5)-ene-3-beta-hydroxy steroid, and the oxidative conversion of ketosteroids. It plays a crucial role in the biosynthesis of all classes of hormonal steroids. This gene is predominantly expressed in the adrenals and the gonads. Mutations in this gene are associated with 3-beta-hydroxysteroid dehydrogenase, type II, deficiency. Alternatively spliced transcript variants have been found for this gene.
- UNSPSC12352203



