![ELISA analysis of antigen using GTX60444 HSP27 antibody [5D7]. Red : Control antigen 100ng Purple : Antigen 10ng Green : Antigen 50ng Blue : Antigen 100ng ELISA analysis of antigen using GTX60444 HSP27 antibody [5D7]. Red : Control antigen 100ng Purple : Antigen 10ng Green : Antigen 50ng Blue : Antigen 100ng](https://www.genetex.com/upload/website/prouct_img/normal/GTX60444/GTX60444_20170912_ELISA_w_23061123_806.webp)
ELISA analysis of antigen using GTX60444 HSP27 antibody [5D7]. Red : Control antigen 100ng Purple : Antigen 10ng Green : Antigen 50ng Blue : Antigen 100ng
HSP27 antibody [5D7]
GTX60444
ApplicationsFlow Cytometry, ImmunoFluorescence, Western Blot, ELISA, ImmunoCytoChemistry, ImmunoHistoChemistry, ImmunoHistoChemistry Paraffin
Product group Antibodies
ReactivityHuman, Rat
TargetHSPB1
Overview
- SupplierGeneTex
- Product NameHSP27 antibody [5D7]
- Delivery Days Customer9
- Application Supplier NoteWB: 1/500 - 1/2000. ICC/IF: 1/200 - 1/1000. IHC-P: 1/200 - 1/1000. FACS: 1/200 - 1/400. ELISA: 1/10000. *Optimal dilutions/concentrations should be determined by the researcher.Not tested in other applications.
- ApplicationsFlow Cytometry, ImmunoFluorescence, Western Blot, ELISA, ImmunoCytoChemistry, ImmunoHistoChemistry, ImmunoHistoChemistry Paraffin
- CertificationResearch Use Only
- ClonalityMonoclonal
- Clone ID5D7
- ConjugateUnconjugated
- Gene ID3315
- Target nameHSPB1
- Target descriptionheat shock protein family B (small) member 1
- Target synonymsCMT2F, HEL-S-102, HMN2B, HMND3, HS.76067, HSP27, HSP28, Hsp25, SRP27, heat shock protein beta-1, 28 kDa heat shock protein, epididymis secretory protein Li 102, estrogen-regulated 24 kDa protein, heat shock 27 kDa protein, heat shock 27kD protein 1, heat shock 27kDa protein 1, heat shock protein family B member 1, stress-responsive protein 27
- HostMouse
- IsotypeIgG1
- Protein IDP04792
- Protein NameHeat shock protein beta-1
- Scientific DescriptionThe protein encoded by this gene is induced by environmental stress and developmental changes. The encoded protein is involved in stress resistance and actin organization and translocates from the cytoplasm to the nucleus upon stress induction. Defects in this gene are a cause of Charcot-Marie-Tooth disease type 2F (CMT2F) and distal hereditary motor neuropathy (dHMN). [provided by RefSeq, Oct 2008]
- ReactivityHuman, Rat
- Storage Instruction-20°C or -80°C,2°C to 8°C
- UNSPSC12352203
![FACS analysis of HepG2 cells using GTX60444 HSP27 antibody [5D7]. Green : HSP27 Purple : negative control FACS analysis of HepG2 cells using GTX60444 HSP27 antibody [5D7]. Green : HSP27 Purple : negative control](https://www.genetex.com/upload/website/prouct_img/normal/GTX60444/GTX60444_20170912_FACS_w_23061123_211.webp)
![ICC/IF analysis of HeLa cells using GTX60444 HSP27 antibody [5D7]. Green : HSP27 Blue: DRAQ5 fluorescent DNA dye Red: Actin filaments ICC/IF analysis of HeLa cells using GTX60444 HSP27 antibody [5D7]. Green : HSP27 Blue: DRAQ5 fluorescent DNA dye Red: Actin filaments](https://www.genetex.com/upload/website/prouct_img/normal/GTX60444/GTX60444_20170912_ICCIF_w_23061123_897.webp)
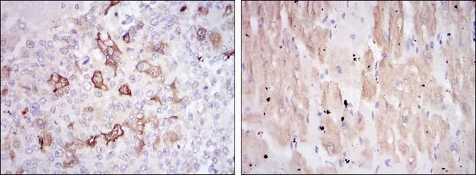
![IHC-P analysis of breast cancer tissue (left) and cardiac muscle tissue (right) using GTX60444 HSP27 antibody [5D7]. IHC-P analysis of breast cancer tissue (left) and cardiac muscle tissue (right) using GTX60444 HSP27 antibody [5D7].](https://www.genetex.com/upload/website/prouct_img/normal/GTX60444/GTX60444_20170912_IHC-P_1_w_23061123_948.webp)
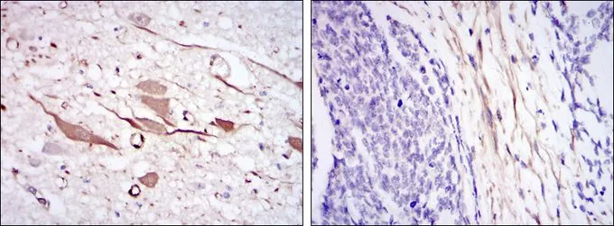
![IHC-P analysis of human brain tissue (left) and esophageal cancer tissue (right) using GTX60444 HSP27 antibody [5D7]. IHC-P analysis of human brain tissue (left) and esophageal cancer tissue (right) using GTX60444 HSP27 antibody [5D7].](https://www.genetex.com/upload/website/prouct_img/normal/GTX60444/GTX60444_20170912_IHC-P_w_23061123_140.webp)
![WB analysis of HeLa (1), A549 (2), Jurkat (3), A431 (4), HEK293(5), HepG2 (6) and PC-12 (7) cell lysate using GTX60444 HSP27 antibody [5D7]. WB analysis of HeLa (1), A549 (2), Jurkat (3), A431 (4), HEK293(5), HepG2 (6) and PC-12 (7) cell lysate using GTX60444 HSP27 antibody [5D7].](https://www.genetex.com/upload/website/prouct_img/normal/GTX60444/GTX60444_20170912_WB_w_23061123_504.webp)





