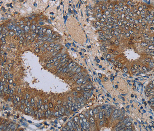
Immunohistochemistry of paraffin-embedded Human colon cancer tissue using IFRD1 Polyclonal Antibody at dilution 1:30
IFRD1 Polyclonal Antibody
E-AB-15123
Product group Antibodies
Overview
- SupplierElabscience
- Product NameIFRD1 Polyclonal Antibody
- Delivery Days Customer12
- Applications SupplierELISA IHC
- CertificationResearch Use Only
- Concentration0.2mg/ml
- Scientific DescriptionThis gene is an immediate early gene that encodes a protein related to interferon-gamma. This protein may function as a transcriptional co-activator/repressor that controls the growth and differentiation of specific cell types during embryonic development and tissue regeneration. Mutations in this gene are associated with sensory/motor neuropathy with ataxia. This gene may also be involved in modulating the pathogenesis of cystic fibrosis lung disease. Alternate splicing results in multiple transcript variants.
- UNSPSC12352203





