
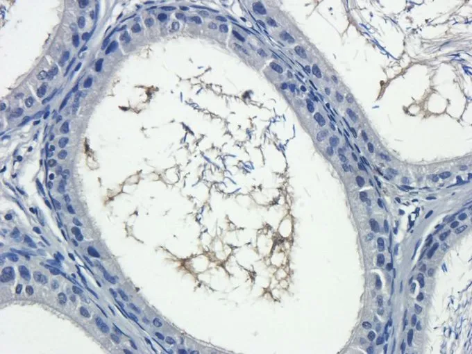
IHC-P analysis of mouse testis tissue using GTX37656 IL13 antibody. Dilution : 2.5μg/ml
IL13 antibody
GTX37656
ApplicationsImmunoHistoChemistry, ImmunoHistoChemistry Paraffin
Product group Antibodies
ReactivityHuman, Mouse, Rat
TargetIL13
Overview
- SupplierGeneTex
- Product NameIL13 antibody
- Delivery Days Customer9
- Application Supplier NoteIHC-P: 1:50-300 (based on 0.5 mg/ml). *Optimal dilutions/concentrations should be determined by the researcher.Not tested in other applications.
- ApplicationsImmunoHistoChemistry, ImmunoHistoChemistry Paraffin
- CertificationResearch Use Only
- ClonalityPolyclonal
- Concentration0.5 mg/ml
- ConjugateUnconjugated
- Gene ID3596
- Target nameIL13
- Target descriptioninterleukin 13
- Target synonymsIL-13, P600, interleukin-13
- HostRabbit
- IsotypeIgG
- Protein IDP35225
- Protein NameInterleukin-13
- Scientific DescriptionThis gene encodes an immunoregulatory cytokine produced primarily by activated Th2 cells. This cytokine is involved in several stages of B-cell maturation and differentiation. It up-regulates CD23 and MHC class II expression, and promotes IgE isotype switching of B cells. This cytokine down-regulates macrophage activity, thereby inhibits the production of pro-inflammatory cytokines and chemokines. This cytokine is found to be critical to the pathogenesis of allergen-induced asthma but operates through mechanisms independent of IgE and eosinophils. This gene, IL3, IL5, IL4, and CSF2 form a cytokine gene cluster on chromosome 5q, with this gene particularly close to IL4. [provided by RefSeq, Jul 2008]
- ReactivityHuman, Mouse, Rat
- Storage Instruction-20°C or -80°C,2°C to 8°C
- UNSPSC41116161
References
- In vivo activation of a T helper 2-driven innate immune response in lung fibrosis induced by multi-walled carbon nanotubes. Dong J et al., 2016 Sep, Arch ToxicolRead this paper








