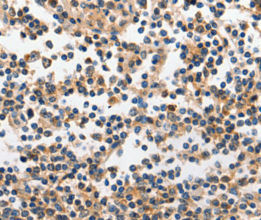
Immunohistochemistry of paraffin-embedded Human tonsil tissue using INHA Polyclonal Antibody at dilution 1:120
INHA Polyclonal Antibody
E-AB-10398
ApplicationsImmunoHistoChemistry
Product group Antibodies
TargetINHA
Overview
- SupplierElabscience
- Product NameINHA Polyclonal Antibody
- Delivery Days Customer12
- ApplicationsImmunoHistoChemistry
- Applications SupplierELISA IHC
- CertificationResearch Use Only
- ClonalityPolyclonal
- Concentration1 mg/ml
- ConjugateUnconjugated
- Gene ID3623
- Target nameINHA
- Target descriptioninhibin subunit alpha
- Target synonymsinhibin alpha chain, A-inhibin subunit, inhibin alpha subunit
- HostRabbit
- IsotypeIgG
- Protein IDP05111
- Protein NameInhibin alpha chain
- Scientific DescriptionThis gene encodes the alpha subunit of inhibins A and B protein complexes. These complexes negatively regulate follicle stimulating hormone secretion from the pituitary gland. Inhibins have also been implicated in regulating numerous cellular processes including cell proliferation, apoptosis, immune response and hormone secretion.[
- Storage Instruction-20°C
- UNSPSC41116161







