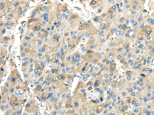
Immunohistochemistry of paraffin-embedded Human liver cancer tissue using INHBB Polyclonal Antibody at dilution 1:45
INHBB Polyclonal Antibody
E-AB-17341
Product group Antibodies
Overview
- SupplierElabscience
- Product NameINHBB Polyclonal Antibody
- Delivery Days Customer12
- CertificationResearch Use Only
- Scientific DescriptionThe inhibin beta B subunit joins the alpha subunit to form a pituitary FSH secretion inhibitor. Inhibin has been shown to regulate gonadal stromal cell proliferation negatively and to have tumour-suppressor activity. In addition, serum levels of inhibin have been shown to reflect the size of granulosa-cell tumors and can therefore be used as a marker for primary as well as recurrent disease. Because expression in gonadal and various extragonadal tissues may vary severalfold in a tissue-specific fashion, it is proposed that inhibin may be both a growth/differentiation factor and a hormone. Furthermore, the beta B subunit forms a homodimer, activin B, and also joins with the beta A subunit to form a heterodimer, activin AB, both of which stimulate FSH secretion.
- UNSPSC12352203



