
Sample (30 ug of whole cell lysate) A: Molt-4 (GTX27912) 10% SDS PAGE GTX111109 diluted at 1:1000
Inhibin alpha antibody [N2C3]
GTX111109
ApplicationsWestern Blot, ImmunoHistoChemistry, ImmunoHistoChemistry Paraffin
Product group Antibodies
ReactivityHuman, Mouse
TargetINHA
Overview
- SupplierGeneTex
- Product NameInhibin alpha antibody [N2C3]
- Delivery Days Customer9
- Application Supplier NoteWB: 1:500-1:3000. IHC-P: 1:100-1:1000. *Optimal dilutions/concentrations should be determined by the researcher.Not tested in other applications.
- ApplicationsWestern Blot, ImmunoHistoChemistry, ImmunoHistoChemistry Paraffin
- CertificationResearch Use Only
- ClonalityPolyclonal
- Concentration0.27 mg/ml
- ConjugateUnconjugated
- Gene ID3623
- Target nameINHA
- Target descriptioninhibin subunit alpha
- Target synonymsinhibin alpha chain, A-inhibin subunit, inhibin alpha subunit
- HostRabbit
- IsotypeIgG
- Protein IDP05111
- Protein NameInhibin alpha chain
- Scientific DescriptionThe inhibin alpha subunit joins either the beta A or beta B subunit to form a pituitary FSH secretion inhibitor. Inhibin has been shown to regulate gonadal stromal cell proliferation negatively and to have tumour-suppressor activity. In addition, serum levels of inhibin have been shown to reflect the size of granulosa-cell tumors and can therefore be used as a marker for primary as well as recurrent disease. However, in prostate cancer, expression of the inhibin alpha-subunit gene was suppressed and was not detectable in poorly differentiated tumor cells. Furthermore, because expression in gonadal and various extragonadal tissues may vary severalfold in a tissue-specific fashion, it is proposed that inhibin may be both a growth/differentiation factor and a hormone. [provided by RefSeq]
- ReactivityHuman, Mouse
- Storage Instruction-20°C or -80°C,2°C to 8°C
- UNSPSC41116161
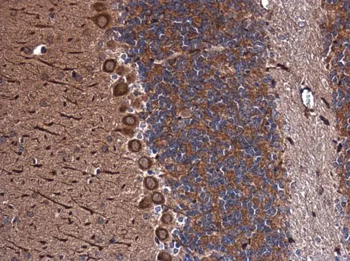
![Inhibin alpha antibody [N2C3] detects Inhibin alpha protein at cytoplasm in mouse brain by immunohistochemical analysis. Sample: Paraffin-embedded mouse brain. Inhibin alpha antibody [N2C3] (GTX111109) diluted at 1:500.
Antigen Retrieval: Citrate buffer, pH 6.0, 15 min Inhibin alpha antibody [N2C3] detects Inhibin alpha protein at cytoplasm in mouse brain by immunohistochemical analysis. Sample: Paraffin-embedded mouse brain. Inhibin alpha antibody [N2C3] (GTX111109) diluted at 1:500.
Antigen Retrieval: Citrate buffer, pH 6.0, 15 min](https://www.genetex.com/upload/website/prouct_img/normal/GTX111109/GTX111109_40058_20160427_IHC-P_M_w_23060500_887.webp)







![WB analysis of mouse spermary tissues lysate using GTX82761 Inhibin alpha antibody [4E2].](https://www.genetex.com/upload/website/prouct_img/normal/GTX82761/GTX82761_20170912_WB_w_23061322_569.webp)
![IHC-P analysis of human lymphoid (A), ovary tumor (B) and testicle tumor (C) tissue using GTX83223 Inhibin alpha antibody [4A2].](https://www.genetex.com/upload/website/prouct_img/normal/GTX83223/GTX83223_20170912_IHC-P_w_23061322_568.webp)