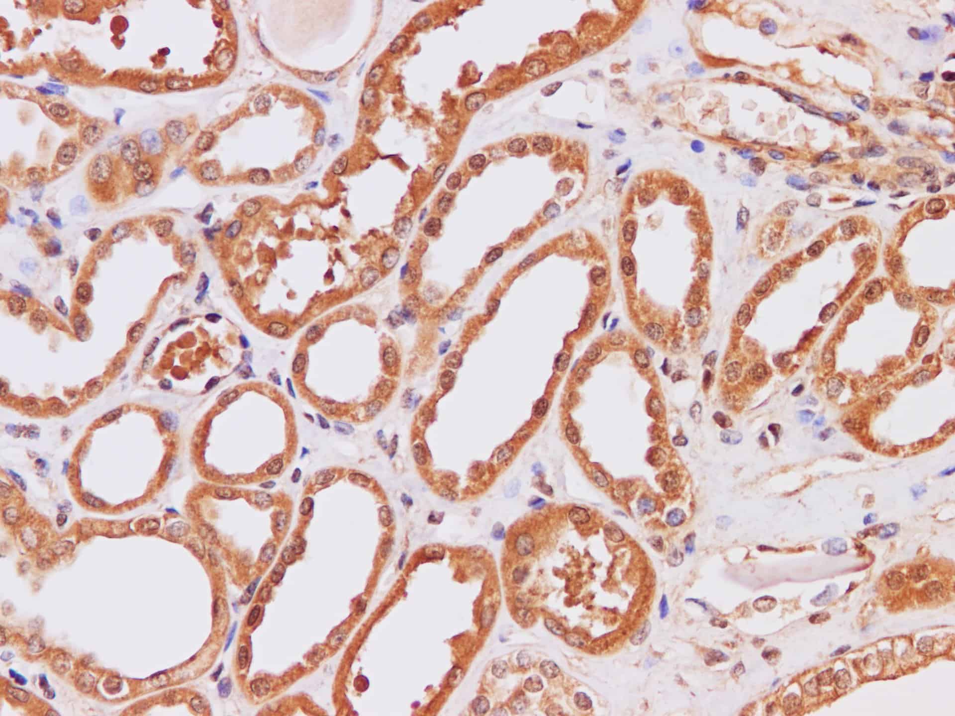
Immunohistochemistry of paraffin-embedded Human kidney using ITPKB Polyclonal Antibody at dilution of 1:200
IP3KB Polyclonal Antibody
E-AB-40215
Product group Antibodies
Overview
- SupplierElabscience
- Product NameIP3KB Polyclonal Antibody
- Delivery Days Customer12
- CertificationResearch Use Only
- Scientific DescriptionThe protein encoded by this protein regulates inositol phosphate metabolism by phosphorylation of second messenger inositol 1,4,5-trisphosphate to Ins(1,3,4,5)P4. The activity of this encoded protein is responsible for regulating the levels of a large number of inositol polyphosphates that are important in cellular signaling. Both calcium/calmodulin and protein phosphorylation mechanisms control its activity.
- UNSPSC12352203



