
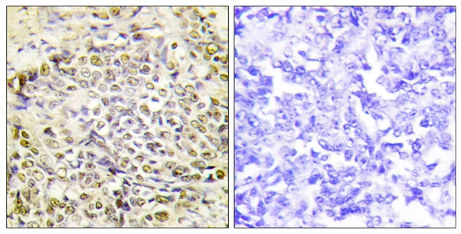
IHC-P analysis of human lung carcinoma tissue using GTX87634 IRX2 antibody. The picture on the right is blocked with the synthesized peptide.
IRX2 antibody
GTX87634
ApplicationsImmunoFluorescence, Western Blot, ImmunoCytoChemistry, ImmunoHistoChemistry, ImmunoHistoChemistry Paraffin
Product group Antibodies
ReactivityHuman
TargetIRX2
Overview
- SupplierGeneTex
- Product NameIRX2 antibody
- Delivery Days Customer9
- Application Supplier NoteWB: 1:500~1:1000. ICC/IF: 1:100~1:500. IHC-P: 1:50~1:100. *Optimal dilutions/concentrations should be determined by the researcher.Not tested in other applications.
- ApplicationsImmunoFluorescence, Western Blot, ImmunoCytoChemistry, ImmunoHistoChemistry, ImmunoHistoChemistry Paraffin
- CertificationResearch Use Only
- ClonalityPolyclonal
- ConjugateUnconjugated
- Gene ID153572
- Target nameIRX2
- Target descriptioniroquois homeobox 2
- Target synonymsIRXA2, iroquois-class homeodomain protein IRX-2, homeodomain protein IRXA2, iroquois homeobox protein 2
- HostRabbit
- IsotypeIgG
- Protein IDQ9BZI1
- Protein NameIroquois-class homeodomain protein IRX-2
- Scientific DescriptionIRX2 is a member of the Iroquois homeobox gene family. Members of this family appear to play multiple roles during pattern formation of vertebrate embryos.[supplied by OMIM, Apr 2004]
- ReactivityHuman
- Storage Instruction-20°C or -80°C,2°C to 8°C
- UNSPSC41116161





