
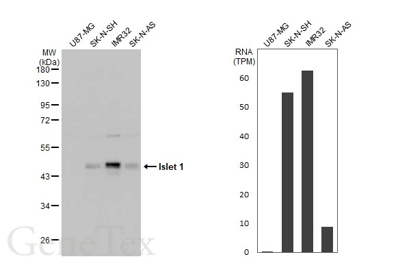
Whole cell extract (30 μg) was separated by 10% SDS-PAGE, and the membrane was blotted with Islet 1 antibody (GTX102807) diluted at 1:1000. The HRP-conjugated anti-rabbit IgG antibody (GTX213110-01) was used to detect the primary antibody.
Islet 1 antibody
GTX102807
ApplicationsImmunoFluorescence, Western Blot, ImmunoCytoChemistry, ImmunoHistoChemistry, ImmunoHistoChemistry Paraffin
Product group Antibodies
ReactivityHuman, Mouse, Rat, Zebra Fish
TargetISL1
Overview
- SupplierGeneTex
- Product NameIslet 1 antibody
- Delivery Days Customer9
- Application Supplier NoteWB: 1:5000-1:20000. ICC/IF: 1:100-1:1000. IHC-P: 1:100-1:1000. *Optimal dilutions/concentrations should be determined by the researcher.Not tested in other applications.
- ApplicationsImmunoFluorescence, Western Blot, ImmunoCytoChemistry, ImmunoHistoChemistry, ImmunoHistoChemistry Paraffin
- CertificationResearch Use Only
- ClonalityPolyclonal
- Concentration1.8 mg/ml
- ConjugateUnconjugated
- Gene ID3670
- Target nameISL1
- Target descriptionISL LIM homeobox 1
- Target synonymsISLET1, Isl-1, insulin gene enhancer protein ISL-1, islet-1
- HostRabbit
- IsotypeIgG
- Protein IDP61371
- Protein NameInsulin gene enhancer protein ISL-1
- Scientific DescriptionThis gene encodes a member of the LIM/homeodomain family of transcription factors. The encoded protein binds to the enhancer region of the insulin gene, among others, and may play an important role in regulating insulin gene expression. The encoded protein is central to the development of pancreatic cell lineages and may also be required for motor neuron generation. Mutations in this gene have been associated with maturity-onset diabetes of the young. [provided by RefSeq]
- ReactivityHuman, Mouse, Rat, Zebra Fish
- Storage Instruction-20°C or -80°C,2°C to 8°C
- UNSPSC41116161











![ICC/IF analysis of HEK293 cells trasfected with full-length ISL1-hIgGFc using GTX83120 Islet 1 antibody [1B1]. Green : Islet 1 Blue: DRAQ5 fluorescent DNA dye](https://www.genetex.com/upload/website/prouct_img/normal/GTX83120/GTX83120_20170912_ICCIF_w_23061322_518.webp)