KATNAL1 Rabbit pAb
ORB184801
ApplicationsWestern Blot
Product group Antibodies
ReactivityCanine, Chicken, Equine, Human, Mouse, Porcine, Rabbit, Rat
TargetKATNAL1
Overview
- SupplierBiorbyt
- Product NameKATNAL1 Rabbit pAb
- Delivery Days Customer16
- ApplicationsWestern Blot
- Applications SupplierWB=1:500-2000 WB
- CertificationResearch Use Only
- ClonalityPolyclonal
- Concentration1 mg/ml
- ConjugateUnconjugated
- Gene ID84056
- Target nameKATNAL1
- Target descriptionkatanin catalytic subunit A1 like 1
- Target synonymskatanin p60 ATPase-containing subunit A-like 1, katanin catalytic subunit A like 1, katanin p60 subunit A like 1, p60 katanin-like 1
- HostRabbit
- IsotypeIgG
- Protein IDQ9BW62
- Protein NameKatanin p60 ATPase-containing subunit A-like 1
- Scientific DescriptionKATNAL1 Rabbit pAb
- ReactivityCanine, Chicken, Equine, Human, Mouse, Porcine, Rabbit, Rat
- Storage Instruction-20°C,2°C to 8°C
- UNSPSC12352203

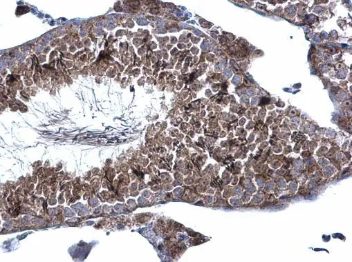
![KATNAL1 antibody [C1C3] detects KATNAL1 protein at cytoplasm on mouse testis by immunohistochemical analysis. Sample: Paraffin-embedded mouse testis. KATNAL1 antibody [C1C3] (GTX120095) diluted at 1:500.
Antigen Retrieval: Trilogy? (EDTA based, pH 8.0) buffer, 15min](https://www.genetex.com/upload/website/prouct_img/normal/GTX120095/GTX120095_40373_20141231_IHC_M_w_23060519_445.webp)
