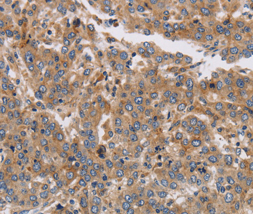
Immunohistochemistry of paraffin-embedded Human liver cancer tissue using KCNG1 Polyclonal Antibody at dilution 1:40
KCNG1 Polyclonal Antibody
E-AB-16535
Product group Antibodies
Overview
- SupplierElabscience
- Product NameKCNG1 Polyclonal Antibody
- Delivery Days Customer12
- Applications SupplierELISA IHC
- CertificationResearch Use Only
- Concentration0.7mg/ml
- Scientific DescriptionVoltage-gated potassium (Kv) channels represent the most complex class of voltage-gated ion channels from both functional and structural standpoints. Their diverse functions include regulating neurotransmitter release, heart rate, insulin secretion, neuronal excitability, epithelial electrolyte transport, smooth muscle contraction, and cell volume. This gene encodes a member of the potassium channel, voltage-gated, subfamily G. This gene is abundantly expressed in skeletal muscle. Multiple alternatively spliced transcript variants have been found in normal and cancerous tissues.
- UNSPSC12352203





