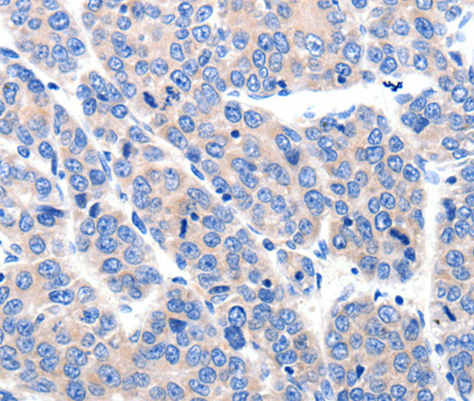
Immunohistochemistry of paraffin-embedded Human ovarian cancer tissue using KCNH8 Polyclonal Antibody at dilution 1:50
KCNH8 Polyclonal Antibody
E-AB-15707
Product group Antibodies
Overview
- SupplierElabscience
- Product NameKCNH8 Polyclonal Antibody
- Delivery Days Customer12
- Applications SupplierELISA IHC
- CertificationResearch Use Only
- Concentration0.5mg/ml
- Scientific DescriptionVoltage-gated potassium (Kv) channels represent the most complex class of voltage-gated ion channels from both functional and structural standpoints. Their diverse functions include regulating neurotransmitter release, heart rate, insulin secretion, neuronal excitability, epithelial electrolyte transport, smooth muscle contraction, and cell volume. This gene encodes a member of the potassium channel, voltage-gated, subfamily H. This member is a pore-forming (alpha) subunit.
- UNSPSC12352203



