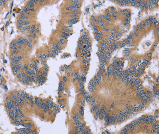
Immunohistochemistry of paraffin-embedded Human colon cancer tissue using KIAA1324 Polyclonal Antibody at dilution 1:30
KIAA1324 Polyclonal Antibody
E-AB-14983
Product group Antibodies
Overview
- SupplierElabscience
- Product NameKIAA1324 Polyclonal Antibody
- Delivery Days Customer12
- Applications SupplierELISA IHC
- CertificationResearch Use Only
- Concentration0.5mg/ml
- Scientific DescriptionExpression of this gene is induced by estrogen and the encoded protein has been characterized as a transmembrane protein. The encoded protein has been found in to correlate with survival in certain carcinomas (PMID: 21102415) and may be important for cellular response to stress (PMID: 21072319). Alternative splicing results in multiple transcript variants.
- UNSPSC12352203







