
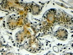
IHC-P analysis of human placenta using GTX89443 Klotho antibody, Internal. Antigen retrieval : citrate buffer pH 6 Dilution : 4μg/ml
Klotho antibody, Internal
GTX89443
ApplicationsImmunoHistoChemistry, ImmunoHistoChemistry Paraffin
Product group Antibodies
ReactivityHuman
TargetKL
Overview
- SupplierGeneTex
- Product NameKlotho antibody, Internal
- Delivery Days Customer7
- Application Supplier NoteIHC-P: 4-6microg/ml. *Optimal dilutions/concentrations should be determined by the researcher.Not tested in other applications.
- ApplicationsImmunoHistoChemistry, ImmunoHistoChemistry Paraffin
- CertificationResearch Use Only
- ClonalityPolyclonal
- Concentration0.50 mg/ml
- ConjugateUnconjugated
- Gene ID9365
- Target nameKL
- Target descriptionklotho
- Target synonymsHFTC3, KLA, klotho, alpha-klotho
- HostGoat
- IsotypeIgG
- Protein IDQ9UEF7
- Protein NameKlotho
- Scientific DescriptionThis gene encodes a type-I membrane protein that is related to beta-glucosidases. Reduced production of this protein has been observed in patients with chronic renal failure (CRF), and this may be one of the factors underlying the degenerative processes (e.g., arteriosclerosis, osteoporosis, and skin atrophy) seen in CRF. Also, mutations within this protein have been associated with ageing and bone loss. [provided by RefSeq, Jul 2008]
- ReactivityHuman
- Storage Instruction-20°C or -80°C,2°C to 8°C
- UNSPSC41116161






![Mouse tissue extracts (50 μg) was separated by 7.5% SDS-PAGE, and the membrane was blotted with Klotho antibody [HL3706] (GTX641878) diluted at 1:1000. The HRP-conjugated anti-rabbit IgG antibody (GTX213110-01) was used to detect the primary antibody.](https://www.genetex.com/upload/website/prouct_img/normal/GTX641878/GTX641878_T-45656_20250207_WB_M_kidney_25021320_689.webp)
![Mouse tissue extract (50 μg) was separated by 7.5% SDS-PAGE, and the membrane was blotted with Klotho antibody [HL3707] (GTX641879) diluted at 1:1000. The HRP-conjugated anti-rabbit IgG antibody (GTX213110-01) was used to detect the primary antibody.](https://www.genetex.com/upload/website/prouct_img/normal/GTX641879/GTX641879_T-45656_20250124_WB_M_kidney_25020422_391.webp)

