
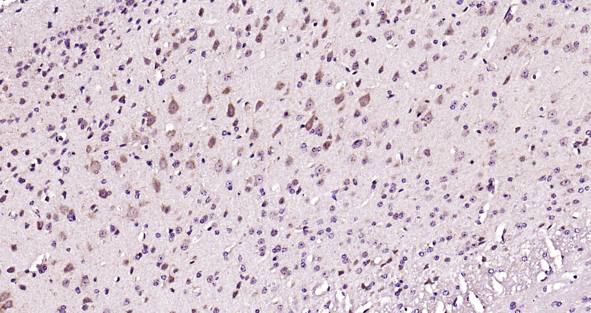
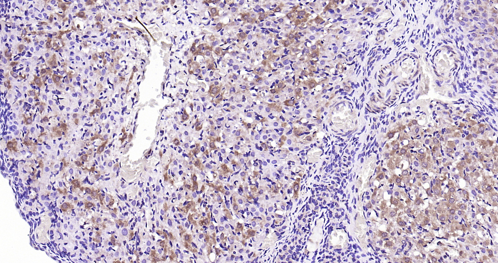
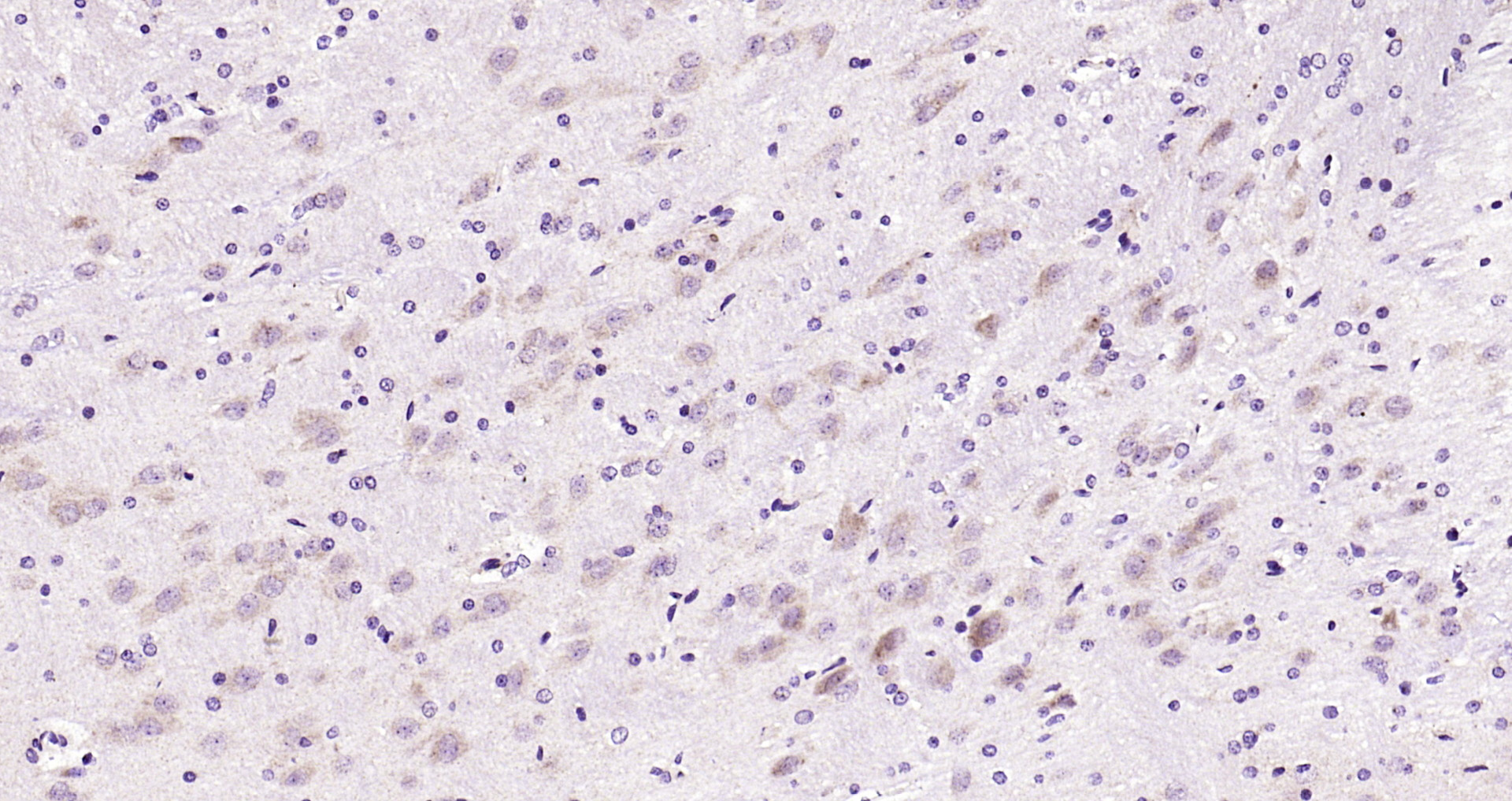
Paraformaldehyde-fixed, paraffin embedded Rat Brain; Antigen retrieval by boiling in sodium citrate buffer (pH6.0) for 15min; Block endogenous peroxidase by 3% hydrogen peroxide for 20 minutes; Blocking buffer (normal goat serum) at 37°C for 30min; Antibody incubation with Leptin Polyclonal Antibody, Unconjugated (bs-0409R) at 1:400 overnight at 4°C, DAB staining.
Leptin Polyclonal Antibody
BS-0409R
ApplicationsImmunoFluorescence, Western Blot, ELISA, ImmunoCytoChemistry, ImmunoHistoChemistry, ImmunoHistoChemistry Frozen, ImmunoHistoChemistry Paraffin
Product group Antibodies
ReactivityHuman, Mouse, Porcine, Rat, Sheep
TargetLEP
Overview
- SupplierBioss
- Product NameLeptin Polyclonal Antibody
- Delivery Days Customer16
- ApplicationsImmunoFluorescence, Western Blot, ELISA, ImmunoCytoChemistry, ImmunoHistoChemistry, ImmunoHistoChemistry Frozen, ImmunoHistoChemistry Paraffin
- Applications SupplierWB(1:300-5000), ELISA(1:500-1000), IHC-P(1:200-400), IHC-F(1:100-500), IF(IHC-P)(1:50-200), IF(IHC-F)(1:50-200), IF(ICC)(1:50-200)
- CertificationResearch Use Only
- ClonalityPolyclonal
- Concentration1 ug/ul
- ConjugateUnconjugated
- Gene ID280836
- Target nameLEP
- Target descriptionleptin
- Target synonymsob, leptin, obese, obesity factor
- HostRabbit
- IsotypeIgG
- Protein IDP50595
- Protein NameLeptin
- ReactivityHuman, Mouse, Porcine, Rat, Sheep
- Storage Instruction-20°C
- UNSPSC12352203
References
- Li F, Zhao S, Guo T, et al. The Nutritional Cytokine Leptin Promotes NSCLC by Activating the PI3K/AKT and MAPK/ERK Pathways in NSCLC Cells in a Paracrine Manner. Biomed Res Int. 2019,2019:2585743. doi: 10.1155/2019/2585743Read this paper
- Chu M, Zhao Y, Feng Y, et al. MicroRNA-126 participates in lipid metabolism in mammary epithelial cells. Mol Cell Endocrinol. 2017,454:77-86. doi: 10.1016/j.mce.2017.05.039Read this paper
- Zhang Y, Liu L, Li C, et al. Correlation analysis between the expressions of leptin and its receptor (ObR) and clinicopathology in endometrial cancer. Cancer Biomark. 2014,14(5):353-9. doi: 10.3233/CBM-140415Read this paper





