
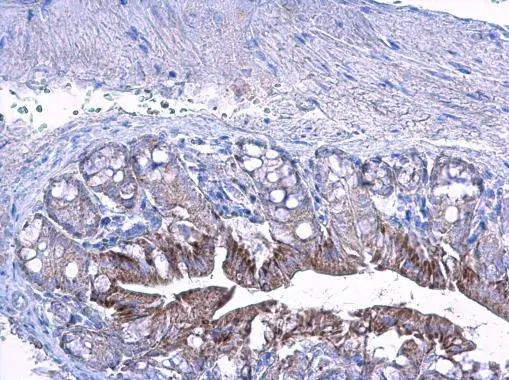
LETM1 antibody detects LETM1 protein at cytoplasm on mouse stomach by immunohistochemical analysis. Sample: Paraffin-embedded mouse stomach. LETM1 antibody (GTX112455) diluted at 1:500.
Antigen Retrieval: Trilogy? (EDTA based, pH 8.0) buffer, 15min
LETM1 antibody
GTX112455
ApplicationsImmunoFluorescence, Western Blot, ImmunoCytoChemistry, ImmunoHistoChemistry, ImmunoHistoChemistry Paraffin
Product group Antibodies
ReactivityHuman, Mouse
TargetLETM1
Overview
- SupplierGeneTex
- Product NameLETM1 antibody
- Delivery Days Customer9
- Application Supplier NoteWB: 1:500-1:3000. ICC/IF: 1:100-1:1000. IHC-P: 1:100-1:1000. *Optimal dilutions/concentrations should be determined by the researcher.Not tested in other applications.
- ApplicationsImmunoFluorescence, Western Blot, ImmunoCytoChemistry, ImmunoHistoChemistry, ImmunoHistoChemistry Paraffin
- CertificationResearch Use Only
- ClonalityPolyclonal
- Concentration1 mg/ml
- ConjugateUnconjugated
- Gene ID3954
- Target nameLETM1
- Target descriptionleucine zipper and EF-hand containing transmembrane protein 1
- Target synonymsCONDMIM, KHE, Mdm38, SLC55A1, mitochondrial proton/calcium exchanger protein, LETM1 and EF-hand domain-containing protein 1, mitochondrial, Mdm38 homolog, electroneutral mitochondrial K(+)/H(+)exchanger, leucine zipper-EF-hand containing transmembrane protein 1
- HostRabbit
- IsotypeIgG
- Protein IDO95202
- Protein NameMitochondrial proton/calcium exchanger protein
- Scientific DescriptionThis gene encodes a protein that is localized to the inner mitochondrial membrane. The protein functions to maintain the mitochondrial tubular shapes and is required for normal mitochondrial morphology and cellular viability. Mutations in this gene cause Wolf-Hirschhorn syndrome, a complex malformation syndrome caused by the deletion of parts of the distal short arm of chromosome 4. Related pseudogenes have been identified on chromosomes 8, 15 and 19. [provided by RefSeq]
- ReactivityHuman, Mouse
- Storage Instruction-20°C or -80°C,2°C to 8°C
- UNSPSC41116161











