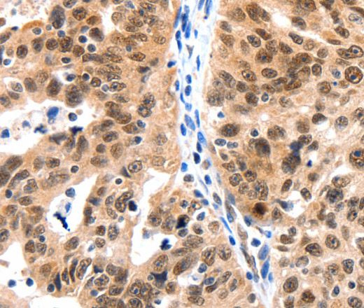
Immunohistochemistry of paraffin-embedded Human ovarian cancer tissue using LRP5 Polyclonal Antibody at dilution 1:115
LRP5 Polyclonal Antibody
E-AB-15758
Product group Antibodies
Overview
- SupplierElabscience
- Product NameLRP5 Polyclonal Antibody
- Delivery Days Customer12
- Applications SupplierELISA IHC
- CertificationResearch Use Only
- Concentration1.4mg/ml
- Scientific DescriptionThis gene encodes a transmembrane low-density lipoprotein receptor that binds and internalizes ligands in the process of receptor-mediated endocytosis. This protein also acts as a co-receptor with Frizzled protein family members for transducing signals by Wnt proteins and was originally cloned on the basis of its association with type 1 diabetes mellitus in humans. This protein plays a key role in skeletal homeostasis and many bone density related diseases are caused by mutations in this gene. Mutations in this gene also cause familial exudative vitreoretinopathy.
- UNSPSC12352203




![ELISA analysis of antigen using GTX60567 LRP5 antibody [2B11]. Black : Control antigen 100ng Purple : Antigen 10ng Blue : Antigen 50ng Red : Antigen 100ng](https://www.genetex.com/upload/website/prouct_img/normal/GTX60567/GTX60567_20170912_ELISA_w_23061123_473.webp)

