
Western blot All lanes: LRRC42 antibody at 10ug/ml Lane 1: MCF-7 whole cell lysate Lane 2: A549 whole cell lysate Lane 3: HCT116 whole cell lysate Lane 4: Colo320 whole cell lysate Secondary Goat polyclonal to rabbit IgG at 1/10000 dilution Predicted band size: 49 kDa Observed band size: 49 kDa
LRRC42 Antibody
CSB-PA896899LA01HU
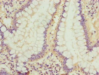
ApplicationsWestern Blot, ELISA, ImmunoHistoChemistry
Product group Antibodies
ReactivityHuman
TargetLRRC42
Overview
- SupplierCusabio
- Product NameLRRC42 Antibody
- Delivery Days Customer20
- ApplicationsWestern Blot, ELISA, ImmunoHistoChemistry
- CertificationResearch Use Only
- ClonalityPolyclonal
- ConjugateUnconjugated
- Gene ID115353
- Target nameLRRC42
- Target descriptionleucine rich repeat containing 42
- Target synonymsdJ167A19.4, leucine-rich repeat-containing protein 42
- HostRabbit
- IsotypeIgG
- Protein IDQ9Y546
- Protein NameLeucine-rich repeat-containing protein 42
- ReactivityHuman
- Storage Instruction-20°C or -80°C
- UNSPSC41116161




