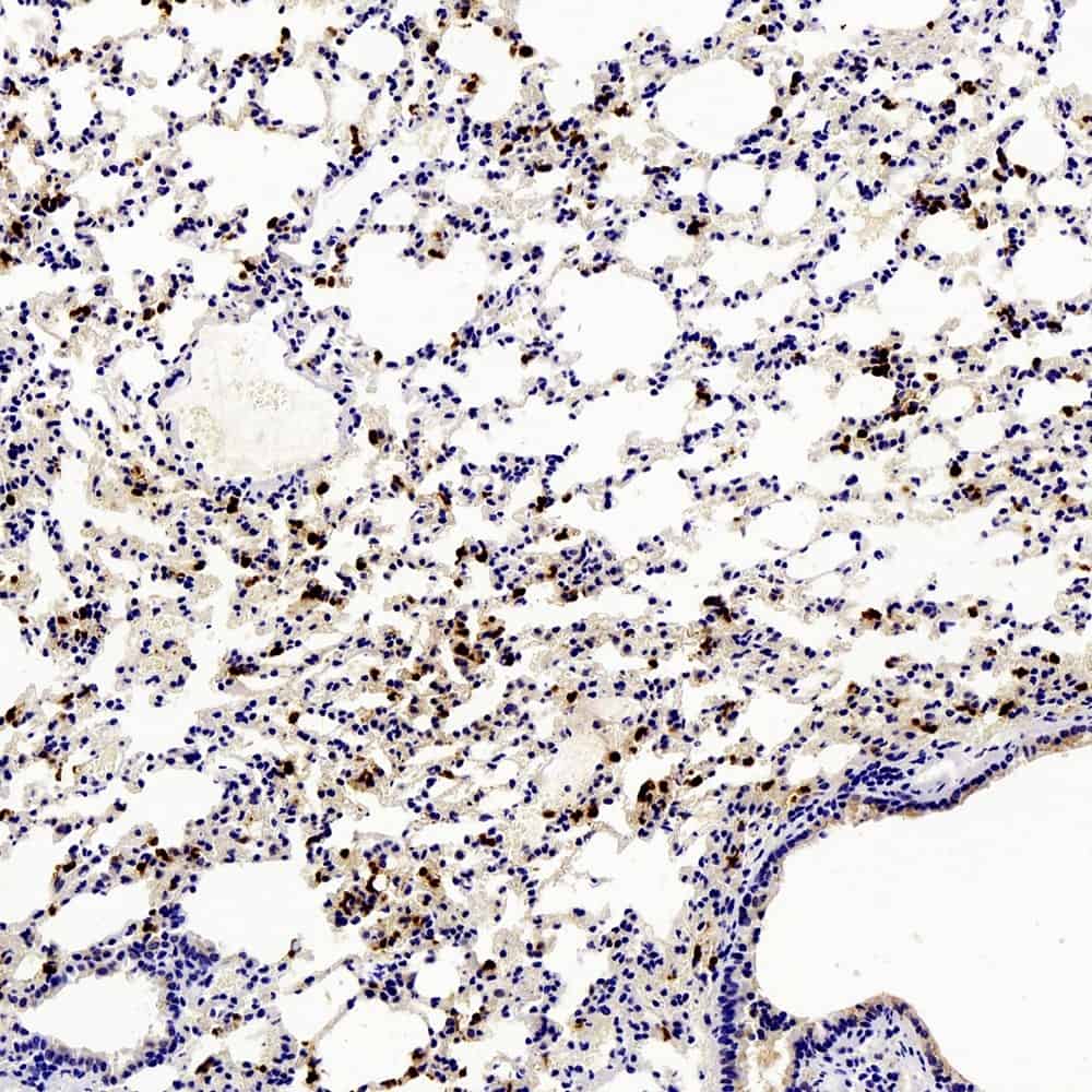
Immunohistochemistry analysis of paraffin-embedded mouse Inflammatory lung using Ly6g Polyclonal Antibody at dilution of 1:200.
Ly6g Polyclonal Antibody
E-AB-70094
ApplicationsImmunoFluorescence, ImmunoHistoChemistry
Product group Antibodies
TargetLy6g
Overview
- SupplierElabscience
- Product NameLy6g Polyclonal Antibody
- Delivery Days Customer12
- ApplicationsImmunoFluorescence, ImmunoHistoChemistry
- CertificationResearch Use Only
- ClonalityPolyclonal
- Concentration360 ug/ml
- ConjugateUnconjugated
- Gene ID546644
- Target nameLy6g
- Target descriptionlymphocyte antigen 6 family member G
- Target synonymsGr-1, Gr1, Ly-6G, lymphocyte antigen 6G, ly-6G.1, lymphocyte antigen 6 complex, locus G
- HostRabbit
- IsotypeIgG
- Protein IDP35461
- Protein NameLymphocyte antigen 6G
- Scientific DescriptionLy6G is a GPI-anchored protein, that is also known as the myeloid differentiation antigen Gr1. The antigen is transiently expressed on monocytes in the bone marrow. The level of antigen expression in the bone marrow directly correlates with granulocyte differentiation and maturation. Ly6G is expressed predominantly on neutrophils, also in a subset of eosinophils, differentiating pre-monocytes, and plasmacytoid dendritic cells.
- Storage Instruction-20°C
- UNSPSC41116161




