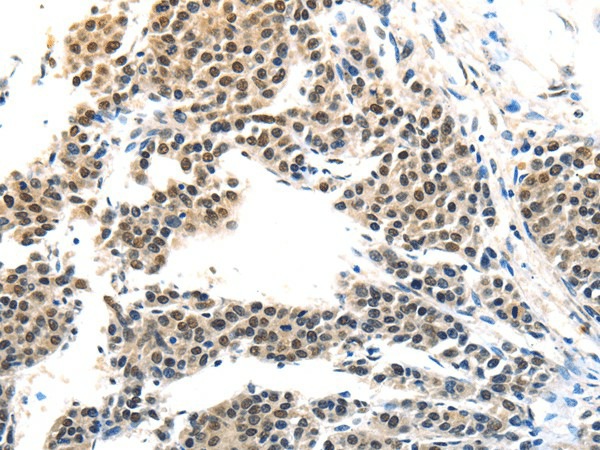
Immunohistochemistry of paraffin-embedded Human liver cancer tissue using MAGEA6 Polyclonal Antibody at dilution 1:120
MAGEA6 Polyclonal Antibody
E-AB-17348
Product group Antibodies
Overview
- SupplierElabscience
- Product NameMAGEA6 Polyclonal Antibody
- Delivery Days Customer12
- CertificationResearch Use Only
- Scientific DescriptionThis gene is a member of the MAGEA gene family. The members of this family encode proteins with 50 to 80% sequence identity to each other. The promoters and first exons of the MAGEA genes show considerable variability, suggesting that the existence of this gene family enables the same function to be expressed under different transcriptional controls. The MAGEA genes are clustered at chromosomal location Xq28. They have been implicated in some hereditary disorders, such as dyskeratosis congenita. Alternative splicing results in multiple transcript variants.
- UNSPSC12352203



