
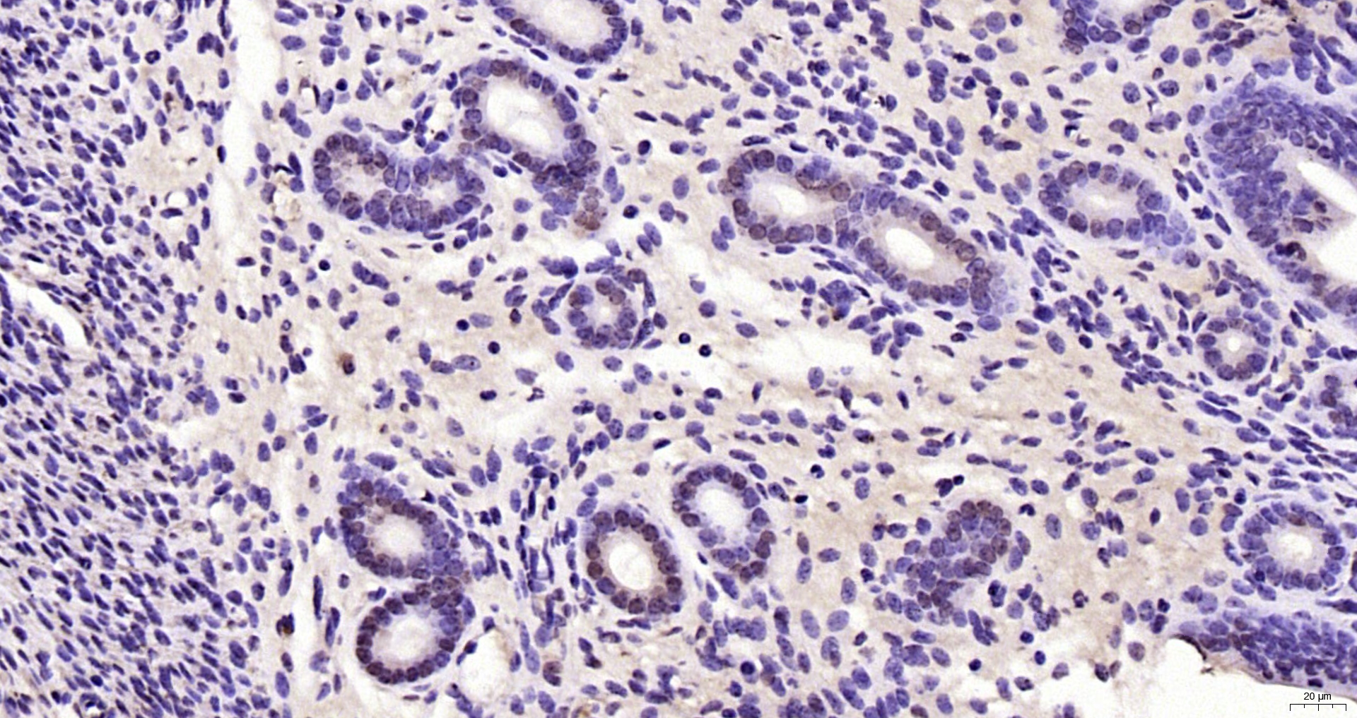
Paraformaldehyde-fixed, paraffin embedded Rat colon; Antigen retrieval by boiling in sodium citrate buffer (pH6.0) for 15min; Block endogenous peroxidase by 3% hydrogen peroxide for 20 minutes; Blocking buffer (normal goat serum) at 37°C for 30min; Antibody incubation with MCM-BP Polyclonal Antibody, Unconjugated (bs-18727R) at 1:200 overnight at 4°C, DAB staining.
MCM-BP Polyclonal Antibody
BS-18727R
ApplicationsImmunoFluorescence, ImmunoHistoChemistry, ImmunoHistoChemistry Frozen, ImmunoHistoChemistry Paraffin
Product group Antibodies
ReactivityBovine, Canine, Chicken, Equine, Human, Mouse, Porcine, Rabbit, Rat, Sheep
TargetMCMBP
Overview
- SupplierBioss
- Product NameMCM-BP Polyclonal Antibody
- Delivery Days Customer16
- ApplicationsImmunoFluorescence, ImmunoHistoChemistry, ImmunoHistoChemistry Frozen, ImmunoHistoChemistry Paraffin
- Applications SupplierIHC-P(IHC-P=1:100-500), IHC-F(IHC-F=1:100-500), IF(IF=1:100-500)
- CertificationResearch Use Only
- ClonalityPolyclonal
- Concentration1 ug/ul
- ConjugateUnconjugated
- Gene ID79892
- Target nameMCMBP
- Target descriptionminichromosome maintenance complex binding protein
- Target synonymsC10orf119, MCM-BP, mini-chromosome maintenance complex-binding protein, MCM-binding protein
- HostRabbit
- IsotypeIgG
- Protein IDQ9BTE3
- Protein NameMini-chromosome maintenance complex-binding protein
- ReactivityBovine, Canine, Chicken, Equine, Human, Mouse, Porcine, Rabbit, Rat, Sheep
- Storage Instruction-20°C
- UNSPSC41116161





