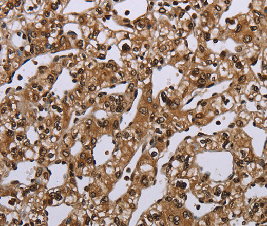
Immunohistochemistry of paraffin-embedded Human prostate cancer tissue using MEIS1 Polyclonal Antibody at dilution 1:40
MEIS1 Polyclonal Antibody
E-AB-16601
Product group Antibodies
Overview
- SupplierElabscience
- Product NameMEIS1 Polyclonal Antibody
- Delivery Days Customer12
- Applications SupplierELISA IHC
- CertificationResearch Use Only
- Concentration1mg/ml
- Scientific DescriptionHomeobox genes, of which the most well-characterized category is represented by the HOX genes, play a crucial role in normal development. In addition, several homeoproteins are involved in neoplasia. This gene encodes a homeobox protein belonging to the TALE (three amino acid loop extension) family of homeodomain-containing proteins.
- UNSPSC12352203






