
Immunohistochemical analysis of paraffin-embedded SW480 xenograft, using MEK3(GTX107529) antibody at 1:500 dilution.
Antigen Retrieval: Citrate buffer, pH 6.0, 15 min
MEK3 antibody [N1C3]
GTX107529
ApplicationsImmunoFluorescence, Western Blot, ImmunoCytoChemistry, ImmunoHistoChemistry, ImmunoHistoChemistry Paraffin
Product group Antibodies
ReactivityHuman, Mouse
TargetMAP2K3
Overview
- SupplierGeneTex
- Product NameMEK3 antibody [N1C3]
- Delivery Days Customer9
- Application Supplier NoteWB: 1:500-1:3000. ICC/IF: 1:100-1:1000. IHC-P: 1:100-1:1000. *Optimal dilutions/concentrations should be determined by the researcher.Not tested in other applications.
- ApplicationsImmunoFluorescence, Western Blot, ImmunoCytoChemistry, ImmunoHistoChemistry, ImmunoHistoChemistry Paraffin
- CertificationResearch Use Only
- ClonalityPolyclonal
- Concentration0.66 mg/ml
- ConjugateUnconjugated
- Gene ID5606
- Target nameMAP2K3
- Target descriptionmitogen-activated protein kinase kinase 3
- Target synonymsMAPKK3, MEK3, MKK3, PRKMK3, SAPKK-2, SAPKK2, dual specificity mitogen-activated protein kinase kinase 3, MAP kinase kinase 3, MAPK/ERK kinase 3, MAPKK 3, MEK 3, SAPK kinase 2, stress-activated protein kinase kinase 2
- HostRabbit
- IsotypeIgG
- Protein IDP46734
- Protein NameDual specificity mitogen-activated protein kinase kinase 3
- Scientific DescriptionThe protein encoded by this gene is a dual specificity protein kinase that belongs to the MAP kinase kinase family. This kinase is activated by mitogenic and environmental stress, and participates in the MAP kinase-mediated signaling cascade. It phosphorylates and thus activates MAPK14/p38-MAPK. This kinase can be activated by insulin, and is necessary for the expression of glucose transporter. Expression of RAS oncogene is found to result in the accumulation of the active form of this kinase, which thus leads to the constitutive activation of MAPK14, and confers oncogenic transformation of primary cells. The inhibition of this kinase is involved in the pathogenesis of Yersina pseudotuberculosis. Multiple alternatively spliced transcript variants that encode distinct isoforms have been reported for this gene. [provided by RefSeq]
- ReactivityHuman, Mouse
- Storage Instruction-20°C or -80°C,2°C to 8°C
- UNSPSC41116161

![Various whole cell extracts (30 μg) were separated by 10% SDS-PAGE, and the membrane was blotted with MEK3 antibody [N1C3] (GTX107529) diluted at 1:1000. The HRP-conjugated anti-rabbit IgG antibody (GTX213110-01) was used to detect the primary antibody. Various whole cell extracts (30 μg) were separated by 10% SDS-PAGE, and the membrane was blotted with MEK3 antibody [N1C3] (GTX107529) diluted at 1:1000. The HRP-conjugated anti-rabbit IgG antibody (GTX213110-01) was used to detect the primary antibody.](https://www.genetex.com/upload/website/prouct_img/normal/GTX107529/GTX107529_40037_20220311_WB_w_23060120_852.webp)

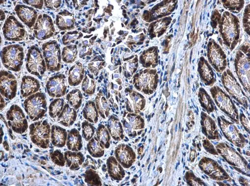
![MEK3 antibody [N1C3] detects MEK3 protein at cytoplasm in mouse colon by immunohistochemical analysis. Sample: Paraffin-embedded mouse colon. MEK3 antibody [N1C3] (GTX107529) diluted at 1:500.
Antigen Retrieval: Citrate buffer, pH 6.0, 15 min MEK3 antibody [N1C3] detects MEK3 protein at cytoplasm in mouse colon by immunohistochemical analysis. Sample: Paraffin-embedded mouse colon. MEK3 antibody [N1C3] (GTX107529) diluted at 1:500.
Antigen Retrieval: Citrate buffer, pH 6.0, 15 min](https://www.genetex.com/upload/website/prouct_img/normal/GTX107529/GTX107529_40037_20150420_IHC_M_2_w_23060120_953.webp)
![Various whole cell extracts (30 μg) were separated by 10% SDS-PAGE, and the membrane was blotted with MEK3 antibody [N1C3] (GTX107529) diluted at 1:1000. The HRP-conjugated anti-rabbit IgG antibody (GTX213110-01) was used to detect the primary antibody. Various whole cell extracts (30 μg) were separated by 10% SDS-PAGE, and the membrane was blotted with MEK3 antibody [N1C3] (GTX107529) diluted at 1:1000. The HRP-conjugated anti-rabbit IgG antibody (GTX213110-01) was used to detect the primary antibody.](https://www.genetex.com/upload/website/prouct_img/normal/GTX107529/GTX107529_40037_20220311_WB_2_w_23060120_102.webp)
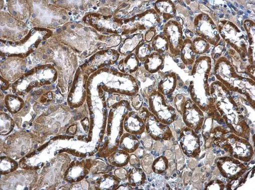
![MEK3 antibody [N1C3] detects MEK3 protein at cytoplasm in mouse kidney by immunohistochemical analysis. Sample: Paraffin-embedded mouse kidney. MEK3 antibody [N1C3] (GTX107529) diluted at 1:500.
Antigen Retrieval: Citrate buffer, pH 6.0, 15 min MEK3 antibody [N1C3] detects MEK3 protein at cytoplasm in mouse kidney by immunohistochemical analysis. Sample: Paraffin-embedded mouse kidney. MEK3 antibody [N1C3] (GTX107529) diluted at 1:500.
Antigen Retrieval: Citrate buffer, pH 6.0, 15 min](https://www.genetex.com/upload/website/prouct_img/normal/GTX107529/GTX107529_40037_20150420_IHC_M_w_23060120_453.webp)






