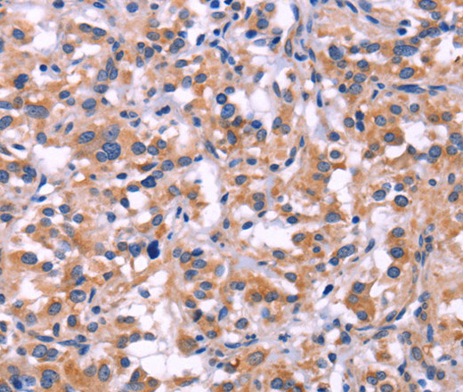
Immunohistochemistry of paraffin-embedded Human thyroid cancer tissue using MMP14 Polyclonal Antibody at dilution 1:40
MMP14 Polyclonal Antibody
E-AB-10461
ApplicationsImmunoHistoChemistry
Product group Antibodies
TargetMMP14
Overview
- SupplierElabscience
- Product NameMMP14 Polyclonal Antibody
- Delivery Days Customer12
- ApplicationsImmunoHistoChemistry
- Applications SupplierELISA IHC
- CertificationResearch Use Only
- ClonalityPolyclonal
- Concentration0.4 mg/ml
- ConjugateUnconjugated
- Gene ID4323
- Target nameMMP14
- Target descriptionmatrix metallopeptidase 14
- Target synonymsMMP-14, MMP-X1, MT-MMP, MT-MMP 1, MT1-MMP, MT1MMP, MTMMP1, WNCHRS, matrix metalloproteinase-14, matrix metallopeptidase 14 (membrane-inserted), membrane type 1 metalloprotease, membrane-type-1 matrix metalloproteinase
- HostRabbit
- IsotypeIgG
- Protein IDP50281
- Protein NameMatrix metalloproteinase-14
- Scientific DescriptionProteins of the matrix metalloproteinase (MMP) family are involved in the breakdown of extracellular matrix in normal physiological processes, such as embryonic development, reproduction, and tissue remodeling, as well as in disease processes, such as arthritis and metastasis. Most MMPs are secreted as inactive proproteins which are activated when cleaved by extracellular proteinases. However, the protein encoded by this gene is a member of the membrane-type MMP (MT-MMP) subfamily; each member of this subfamily contains a potential transmembrane domain suggesting that these proteins are expressed at the cell surface rather than secreted. This protein activates MMP2 protein, and this activity may be involved in tumor invasion.
- Storage Instruction-20°C
- UNSPSC41116161






